
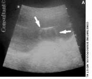
A 67-year-old woman was admitted to the hospital with fever, chills, unilateral flank pain, dysuria, and urinary frequency and urgency. Her past medical history included several febrile relapses of infection.

A 67-year-old woman was admitted to the hospital with fever, chills, unilateral flank pain, dysuria, and urinary frequency and urgency. Her past medical history included several febrile relapses of infection.

Published: February 1st 2002 | Updated: