
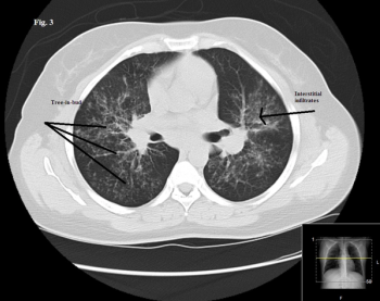
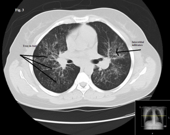
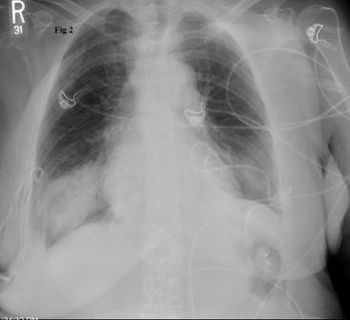
Worsening respiratory symptoms and fatigue of 6 months’ duration brought a 44-year-old woman in for evaluation. Diagnosed with asthma 2 years earlier, she was compliant with, but unresponsive to treatment. Your impressions?

Worsening respiratory symptoms and fatigue of 6 months’ duration brought a 44-year-old woman in for evaluation. Diagnosed with asthma 2 years earlier, she was compliant with, but unresponsive to treatment. Your impressions?


There are 4 manifestations of this syndrome; each is characterized by involvement of at least 2 glandular organs in autoimmune mediated diseases that lead to organ hypofunction.

The patient's medical history was notable for hypertension, diabetes mellitus, and seizure disorder. Here, find images and lab results; then select a diagnosis.

The patient was treated with a combination of topical corticosteroids, oral retinoids, and psoralen with ultraviolet A (PUVA) therapy, with significant improvement in his symptoms over time.

A young woman was admitted at 36 weeks' gestation with severe preeclampsia. During delivery, she experienced generalized seizures. She remained postictal throughout the normal vaginal birth.

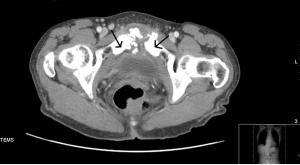
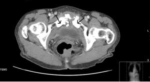
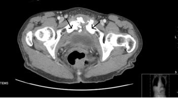
Presenting complaints were fever, nausea, and lower abdominal pain that worsened with walking. Osteomyelitis is not commonly included in a differential for abdominal pain. This case is different.

Re-expansion pulmonary edema is noncardiogenic and follows re-expansion of the lung after thoracentesis is performed for large amounts of pleural effusion or for pneumothorax.

Eosinophilic esophagitis is often misdiagnosed as gastroesophageal reflux disease but does not respond to acid suppression therapy. Here, a close-to-textbook case.


A 32-year-old man with no significant medical history presents with multiple scrotal lesions that he claims have been present for 2 years. They are non-tender and he reports no overt symptoms. The full case, here.

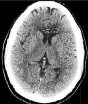
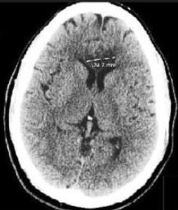
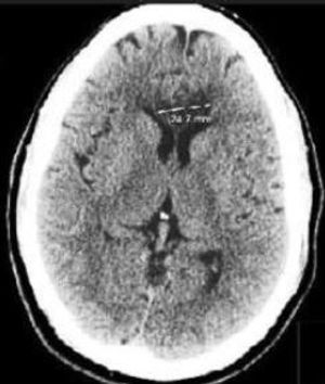
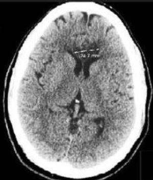
Bilateral strokes of the corpus callosum are uncommon because of the rich blood supply of this structure from three main arterial systems.

Published: September 13th 2013 | Updated:

Published: February 25th 2014 | Updated:

Published: February 22nd 2014 | Updated:

Published: February 21st 2014 | Updated:

Published: February 1st 2014 | Updated:

Published: February 15th 2014 | Updated: