
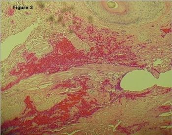
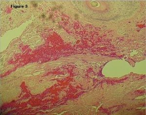
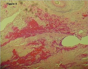
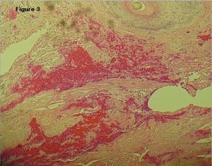
A 32-year-old man with no significant medical history presents with multiple scrotal lesions that he claims have been present for 2 years. They are non-tender and he reports no overt symptoms. The full case, here.

A 32-year-old man with no significant medical history presents with multiple scrotal lesions that he claims have been present for 2 years. They are non-tender and he reports no overt symptoms. The full case, here.

Published: January 31st 2014 | Updated: