
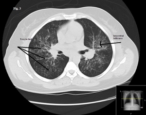
Worsening respiratory symptoms and fatigue of 6 months’ duration brought a 44-year-old woman in for evaluation. Diagnosed with asthma 2 years earlier, she was compliant with, but unresponsive to treatment. Your impressions?

Worsening respiratory symptoms and fatigue of 6 months’ duration brought a 44-year-old woman in for evaluation. Diagnosed with asthma 2 years earlier, she was compliant with, but unresponsive to treatment. Your impressions?


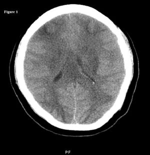
A young woman was admitted at 36 weeks' gestation with severe preeclampsia. During delivery, she experienced generalized seizures. She remained postictal throughout the normal vaginal birth.

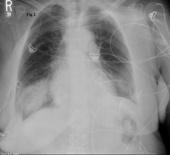
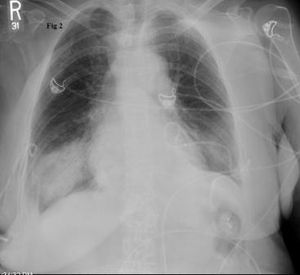
Re-expansion pulmonary edema is noncardiogenic and follows re-expansion of the lung after thoracentesis is performed for large amounts of pleural effusion or for pneumothorax.

Published: February 21st 2014 | Updated:

Published: June 26th 2014 | Updated:

Published: June 26th 2014 | Updated:

Published: February 22nd 2014 | Updated: