
For 2 months, a 29-year-old man had pain and circular, soft swelling (7 x 7 cm in diameter) over the anterior left knee, superficial to the patellar ligament. Pain was minimal and associated with extension and flexion.

For 2 months, a 29-year-old man had pain and circular, soft swelling (7 x 7 cm in diameter) over the anterior left knee, superficial to the patellar ligament. Pain was minimal and associated with extension and flexion.

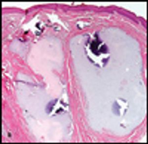
These lesions on the scrotum of an otherwise healthy 42-year-old man had gradually increased in size and quantity over the past 3 to 4 years. The firm, skin-colored papules and nodules ranged in size from 0.8 to 2 cm. The lesions caused occasional discomfort and itching. No inguinal rash or urethral discharge was noted. There was no sign of a hernia, and both testes were in the scrotum.

Published: May 6th 2010 | Updated:

Published: January 12th 2011 | Updated: