Articles by Timothy J. Haley, MD

An 11-year-old boy had generalized abdominal pain followed by nausea and vomiting. He had neither diarrhea nor fever. Examination revealed a flat, diffusely tender abdomen with no palpable masses. Pigmented macules were seen on his lips and buccal mucosa. A partial bowel resection had been performed 5 years ago because of intussusception.

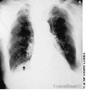
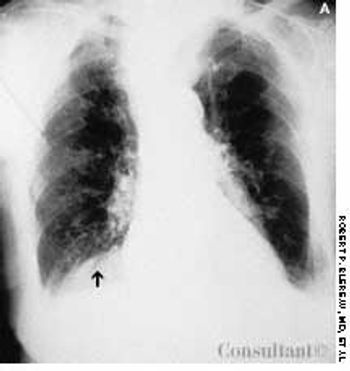
A 95-year-old woman was brought to the emergency department with hemoptysis. Erect posterior-anterior (A) and lateral (B) chest films showed a density at the base of the right lung posteriorly. A CT scan (C) revealed that the mass was the right kidney above the diaphragm and adjacent to the heart. The kidney had migrated through a foramen of Bochdalek.

For 2 months, food particles had been regurgitating into a 72-year-old woman's throat after meals. Barium esophagography revealed a Zenker, or pharyngoesophageal, diverticulum.