All News

For patients who complain that their axillae or feet are unusually smelly, prescribe a combination antibiotic/benzoyl peroxide product and tell them to apply it to the affected area 10 minutes before they shower.

A 28-year-old woman presents with milky discharge in both breasts and throbbing occipital headaches of 4 months' duration. The headaches begin gradually, do not radiate, and have no apparent triggers or relieving factors.

ABSTRACT: The 2001 anthrax attack demonstrated the UnitedStates' vulnerability to bioterrorism. Governmental and publichealth agencies are preparing for the enormous logistical challengesrequired for a response to a large-scale bioterrorist attack.These include the stockpiling and distribution of antibioticsand vaccines for prophylaxis and treatment of exposedpopulations. Given that untreated inhalational anthrax is rapidlyfatal, early identification and timely initiation of appropriatetherapy are essential. The prodromal phase of illness ischaracterized by flu-like symptoms, such as cough, fever, andfatigue, followed by respiratory distress and shock. Chest radiographicfindings include pleural effusions and widening ofthe mediastinum. (J Respir Dis. 2008;29(5):215-221)

IDAlert

A SINGLE INJECTION of a sustained-release formulation of doxycylinehyclate may be highly prophylacticfor Lyme disease and relatedillnesses in patients presentingwith tick bites, according to researchersfrom the CDC in Fort Collins,Colo. The team, led by Nordin Zeidner,DVM, PhD, senior research microbiologistin the division of vectorborneinfectious diseases at the CDC,compared the efficacy of oral doxycyclinewith that of injectable sustained-release doxycycline in miceexposed to nymphal ticks infectedwith either Borrelia burgdorferi orAnaplasma phagocytophilum.

Recognition of a simultaneous viral and bacterial skin infectioncan be challenging. In the case presented here, an immunocompromisedpatient presented with a painful rash on the arm,pustules and papules on the chest, and crusted lesions onthe nares. Culture and immunofluorescent staining revealedStreptococcus and varicella-zoster virus, respectively. Afterappropriate treatment, the rash completely resolved. [InfectMed. 2008;25:240-241]

The effective management of HIV-1 infection has evolveddramatically over the past decade. As treatments have becomemore effective, better tolerated, and easier to take, treatmentsuccess as defined by surrogate markers has becomeincreasingly common. Nevertheless, responses to therapyare not uniform, and even in the ideal setting of clinical trialswith a select patient population treated with a compact andwell-tolerated regimen, sustained antiviral response will not beachieved in up to 20% of patients. Major factors that influencetreatment response include adherence, stage of disease at whichtherapy is initiated, therapeutic potency, patient demographics,and treatment history. In the first part of this 2-part series, stageof disease and therapeutic potency are addressed. [Infect Med.2008;25:222-226]

More than 22,000 persons in the United States are affected bycatscratch disease (CSD) annually. Despite the discovery of thecausative organism more than a decade ago, much is still unknownabout this illness. Recent data suggest that ticks, as wellas cats, may transmit the disease to humans. Immunofluorescenceassay is proving to be the most efficient and noninvasivetechnique for diagnosing CSD. Among available antimicrobials,azithromycin has proved to be especially useful, although randomized,double-blind, placebo-controlled trials are warrantedto define the best treatment method for patients with CSD.[Infect Med. 2008;25:242-246, 250]

It is now known that one of the most importantand largest reservoirs of HIV-1 is gut-associated lymphoidtissue (GALT). This fact will no doubt lead tonew directions in research in HIV pathophysiology andpharmacotherapy.

Superficial adenopathy is the most common symptom ofcatscratch disease (CSD) attributed to Bartonella henselaeinfection. More complicated adenopathy with pulmonaryinvolvement can occur. We report a case of a 15-year-oldboy with pleural symptoms related to B henselae–associatedCSD. [Infect Med. 2008;25:248-250]

Recent research has been instrumental to understanding the long-term sequelae of acute lung injury (ALI)/ARDS. The information we present here is based on a recent review of this topic.1 It is important to note that since patients' baseline status is not usually known, the understanding of long-term outcomes is frequently based on an imperfect comparison with population norms. These norms may not accurately represent the baseline status of patients with ALI, since these patients may be less healthy than the general population.

ABSTRACT: The increasing availability of bedside ultrasonographyallows for more timely diagnosis and treatment of pleuraleffusion while limiting the patient's exposure to radiation. Thedynamic signs characteristic of pleural effusions includerespirophasic changes in the shape of the fluid collection, floatingmovements of atelectatic lung, and the plankton sign. Ultrasonographyalso is an efficient means of excluding pneumothoraxwhen rapid diagnosis is needed or after interventionssuch as central line placement, lung or pleural biopsy, or thoracentesis.The diagnosis of a pneumothorax relies on the absenceof dynamic signs such as "lung sliding." Static signs, suchas the comet tail artifact, or consolidated lung parenchyma orlung tissue that contains a solid mass, also can be useful in excludingpneumothorax. Ultrasonography can be used to guidefine-needle aspiration and core biopsies of pleural nodules,pleural thickening, and subpleural lung masses. (J Respir Dis.2008;29(5):200-207)

ABSTRACT: The risk factors for health care–associated pneumonia(HCAP) include hospitalization for 2 or more days withinthe past 90 days, residence in a nursing home or extended-carefacility, home infusion therapy, and long-term dialysis withinthe past 30 days. Distinguishing between community-acquiredpneumonia (CAP) and HCAP is important because of the implicationsfor therapy. Compared with CAP, HCAP is morelikely to be caused by multidrug-resistant organisms and is associatedwith a higher mortality rate. The management ofHCAP requires antimicrobial coverage of Pseudomonas aeruginosa,Acinetobacter species, extended-spectrum ß-lactamase–producing Enterobacteriaceae, and methicillin-resistant Staphylococcusaureus. Empirical narrowing of therapy is probablysafe in patients with culture-negative HCAP who have improvedwith broad-spectrum therapy. (J Respir Dis. 2008;29(5):208-213)

After a family argument, an 83-year-old woman experienced chest pain, a "racing heart," and a choking sensation and was brought to the emergency department. The chest pain lasted 10 to 15 minutes; was sharp, substernal, and nonradiating; and was associated with dyspnea and a bout of emesis. A sublingual nitroglycerin tablet partially alleviated the pain, but the patient felt syncopal. Her symptoms persisted despite the administration of supplemental oxygen and a second sublingual nitroglycerin tablet. The patient had a history of gastroesophageal reflux disease, allergic rhinitis, and osteoarthritis. Her oral medications included esomeprazole (40 mg/d), aspirin (81 mg/d), and fluticasone nasal spray. She had discontinued valdecoxib 3 weeks earlier.

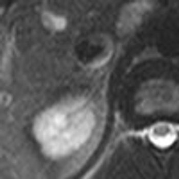
Caroli Disease

Caroli disease had been diagnosed in a 29-year-old man 5 years earlier based on MRI findings of multiple sacculated, dilated intrahepatic ducts with intrahepatic calculi and calculi in the common bile duct. At the time of diagnosis, the patient had no significant medical history and was asymptomatic. Regular follow-up, including annual serial MRI scanning of the abdomen, was recommended.

Since pertussis has been considered to be primarily apediatric disease, it is often overlooked as a cause of cough inadults. However, the incidence has been increasing in adolescentsand adults, and these persons are the major reservoir forthe disease. The first stage of illness is characterized by flu-likesymptoms; then patients typically have paroxysms of severecoughing-several short dry coughs, followed by a deep inspiratoryeffort and the characteristic "whoop." The most commoncomplication of pertussis is pneumonia, but other complicationsinclude bronchitis, laryngitis, atelectasis, pneumothorax,subconjunctival hemorrhage, subdural hematoma,and seizures. The diagnosis can be confirmed by isolation ofBordetella pertussis in culture; rapid diagnostic tests, such as thedirect fluorescent antibody method and polymerase chain reaction;and serological tests to detect antibodies to B pertussis.First-line therapy for pertussis includes a macrolide antibiotic.(J Respir Dis. 2008;29(4):172-178)