
A 14-year-old with an odd facial rash has vocal outbursts at school, especially when teased and at home when stressed. What’s wrong? Your Dx?

A 14-year-old with an odd facial rash has vocal outbursts at school, especially when teased and at home when stressed. What’s wrong? Your Dx?

Two young girls present with nearly identical forehead lesions and mild alopecia. Do you recognize these signs? Can you Dx?

Test your visual diagnostic skills with an up-close look at 3 papulosquamous rashes and see if you can make a Dx match.

Three siblings share a scaly, lizard-like rash. Neither parent has the condition. What do you think this could be?

Three-year-old boy has rash x7 days on arms and legs plus low-grade fever x10-14 days. Is the eruption anomaly or simply ordinary?

A teen boy has tried everything for his "zits" without improvement. Take a close look at the eruption. Acne? Or, something else? Another Case Study from the Clinic.

Patient also has fever, fatigue, and nonpainful nodules with the rash, which is worse after exertion. What is your diagnosis?

Increasing fatigue and muscle weakness now keep this 7-year-old from interaction with her peers. Get the details and a closer look at the rash. Your Dx?

A teen athlete comes in for his preseason physical. Everything looks good until he lifts up his shirt.

A 13-year-old is teased at school because of several coin-sized shiny spots that have appeared on both shins and will not heal. Dx?

After a few days at play on the beach, young brothers present with similar erythematous eruptions on their abdomens. Can you Dx?

What would cause a diaper to turn pink after sitting overnight in the diaper pail? Read this case closely for the clues.

A healthy young girl with a pink specimen and a male teen whose urine is green. What's in your differential Dxs?

We give you 6 cases with a photo, presenting details, and a differential. Now, what's your Dx?

This 12-year-old boy has had asymptomatic swellings over multiple knuckles all his life. How would you explain the condition to him?

Look closely at this eruption and consider its distribution. Is the dermatology clinic seeing a "textbook" case here? What's your diagnosis?

The lesion, seen first more than 10 years ago, is larger and has changed. It has not been followed. Your Dx? Next steps?

This serious symptom constellation is seen in a 21-year-old man. Is it familiar to you?

Can you identify this acral eruption of a week's duration on a 3-year-old boy?

The diagnosis of trichotillomania seemed certain, despite lack of supporting history. It turned out to be about 50% wrong.

A 10-month history of progressive swelling below the knee makes this 12-year-old's case an ideal stop on the medical mystery tour.

It looked very much like dermatomyositis, but there were no signs of muscle weakness. What would be in your differential diagnosis?

The 16-year-old is upset by a new outbreak of “acne” and the prom is in 2 weeks. But is it acne? And what’s that bruise?

A young naval recruit presents with a cluster of symptoms that may sound familiar. Get more clues and a close look at the rash, here.

Onset of illness was acute; fever is high and rash is widespread. Exam is performed in isolation. Your Dx?

Brothers present with residual findings from a bad bout of lower GI distress. Their tongues will speak for themselves. What's your Dx?

An 8-year-old boy was seen in the ED for sudden, extreme tenderness of the soles of his feet. He now sees you, in primary care.

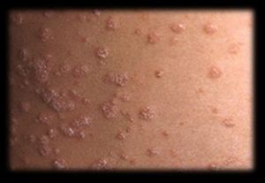
The teen presents for an annual physical. You note asymmetric papular lesions that cover his trunk. What is your diagnosis?

A few days after a homecoming party a 17-year-old girl presents with a pruritic rash at her waist and on her upper arms. What went on?

What is the cause of the severe, diffuse inflammation of skin, joints, and mucous membranes in this Persian Gulf patient?

Published: September 22nd 2015 | Updated:

Published: April 7th 2017 | Updated:

Published: August 5th 2015 | Updated:

Published: September 3rd 2015 | Updated:

Published: October 1st 2015 | Updated:

Published: September 21st 2016 | Updated: