
Bilateral tiny lumps in a 4-month-old boy's heels are making his mother anxious. Get a close look at the lesions and enter your Dx.

Bilateral tiny lumps in a 4-month-old boy's heels are making his mother anxious. Get a close look at the lesions and enter your Dx.

A young teen presents with an acne outbreak that is uncharacteristic for her. What are the clues to the diagnosis in the PMH?

What is in your differential diagnosis for a thin brown line of parallel bands, regular in width that span nail fold to free nail edge?

Asthenia and developmental delay seem at odds with well-defined musculature in this 9-month-old. What Dx do you suspect?

An acute outbreak on a formerly clear-complected young girl is suspicious for some notable features that are missing. Your Dx?

The first stage of this rash began at birth; it has twice changed distinctly in form. Are these changes the key to a diagnosis?

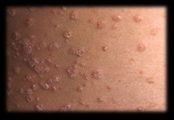
Can you identify this acute widespread nodular rash on a neonate who is otherwise ready for discharge?

Lesions are warm to the touch; exam is unremarkable. Does mom have the answer? Do you?

Walk through this case of unexplained bruising in a young boy that proves signs and symptoms are not always what they appear to be.

This case of "gnarly nails" takes you back to Physical Diagnosis 101. Do you recall the causes of pitting, clubbing and lines?

They come from opposite coasts, but their symptoms are too similar to ignore. Can you find the common thread in these cases?

The eruption has become widespread over a 2-week period. Use your memory of dermatology basics to help make the diagnosis.

The young woman's foot odor is accompanied by physical findings on the plantar surfaces. What's your Dx? Rx?

The lesion, along the patient's left jaw line, has not responded to antibiotic treatment. A colleague asks for your help.

Antibiotics have not been effective in either case and one of the teens is losing time at work visiting doctors. Can you dx?

A mom brings her 2 young girls in for runny noses. But a close look at her face got this primary care doc thinking deeper thoughts.

Differences in cutaneous structure and function make dermatoses in skin of color unique. Here, 2 cases to test your visual acumen.

Puzzle out the cause of an unusual bruise on the ankle of a young boy in this slide show based on a true story.

Painful red lesions on the shins. Trauma? Tumor? Inflammation? The diagnosis is in the detailed differential you'll follow in this slide show.

Test your visual diagnostic skills with this slide-show case of a young boy with an odd facial lesion of approximately one month's duration.

8-year-old Al is in for follow-up of an ear infection, but his mother is more interested in why no hair will grow on that spot on the back of his head.

The patient has similar lesions elsewhere on his body. Treatment with a topical steroid was unsuccessful. Can you ID?

Test your visual diagnostic skills, vote for your preferred Dx and treatment, and learn about 2 common annular lesions along the way.

An 11-year-old boy breaks out quite suddenly with a rash of papulosquamous lesions with a silvery scale. Can you Dx?

The asymptomatic rash came on quickly and is prominent on the boy's trunk and arms. Close-ups of the lesions in these slides may help you make the Dx.

Case study: What would cause a shock of stark white in the center of this child's otherwise black head of hair? Your Dx?

A summer tan failed to conceal this embarrassing rash on an 18 y/o boy’s arms, back, and chest. Can you make a diagnosis?