
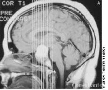
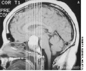
After being hit on the head during a football game, a 16-year-old experienced several seconds of complete vision loss in the left eye. A few days later, he noticed the onset of blurred vision in the same eye, which progressively worsened over several weeks.


