Articles by James Kountoupis, MD

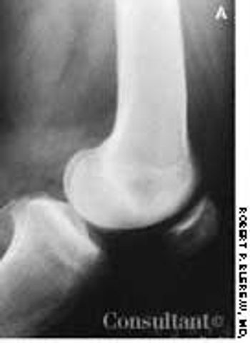
A 41-year-old man fell 3 ft into a bilge; he landed on his left leg and experienced immediate generalized pain in that knee. Three days later, he consulted his physician, who found minimal effusion in the knee and tenderness of the medial collateral ligament (MCL). No abnormalities were seen on plain x-ray films.

After being hit on the head during a football game, a 16-year-old experienced several seconds of complete vision loss in the left eye. A few days later, he noticed the onset of blurred vision in the same eye, which progressively worsened over several weeks.

A 91-cm (3-ft) fall into a bilge sparked significant pain in the left knee of a 41-year-old man who landed on his left leg. Three days later, physicians found minimal effusion in the knee and medial collateral ligament tenderness.