
Roux-en-Y gastric bypass remains the gold standard of bariatric surgery. Obesity and nutrition expert Caroline Apovian, MD, explains why and how it differs from the 3 other types of weight loss surgery.

Roux-en-Y gastric bypass remains the gold standard of bariatric surgery. Obesity and nutrition expert Caroline Apovian, MD, explains why and how it differs from the 3 other types of weight loss surgery.

Physicians’ CKD awareness in T2D is linked with CKD severity, suggests a new study presented this week at the American Diabetes Association’s 80th Virtual Scientific Sessions.

Diabetes, obesity, hyperlipidemia, hypothyroidism-these endocrine disorders and others are major reasons why patients come to you. Find out what you know, and don’t know, here.

This asymptomatic, hyperpigmented lesion was first noted 5 years earlier on the left upper back of a 16-year-old boy. A nevus? Cafe au lait spot?

Acromegaly was diagnosed in a 36-year-old woman who presented with loss of vision in the right eye that had initially involved the peripheral field. Which statement about acromegaly is NOT true?

Thyroglossal duct cyst; HCV-HIV coinfection; slurred speech and trouble swallowing and chewing . . . see how well you do on the quiz questions this week.

A 62-year-old man had multiple, randomly distributed, flesh-colored nodules on his trunk, arms, and face. The lesions measured 0.5 to 1.0 cm and appeared slightly pedunculated. Tissue biopsy showed Schwann cells. Your diagnosis?

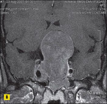
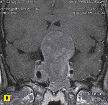
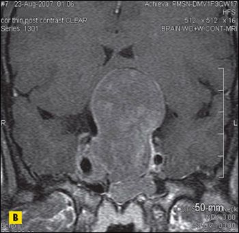
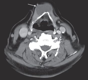
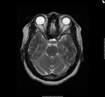
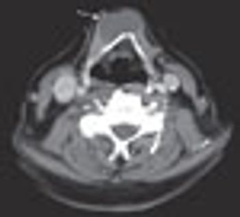
For several years, an asymptomatic, firm, nontender mass had been growing on the neck of a 54-year-old-man, slightly left of midline at the level of the hyoid bone. Thyroid function tests were normal. What does it indicate?

Intermittent blurred vision and palpitations in a young woman often improve after juice. She does not have DM. One day, she arrives at the ED after a seizure. Head CT is negative. What’s next?

Diet and medication can be used to manage symptoms of insulinoma. Once the lesion is well localized, resection is curative.

Mycosis fungoides; circumscribed erythematous lesions in a toddler; large abdominal ecchymotic mass . . . some of the challenges for you in this quiz.

Fluid-filled blisters; necrobiosis lipoidica; gestational diabetes mellitus . . . Test your knowledge on these and other subjects in this quiz.

These asymptomatic plaques developed on the legs of a 59-year-old woman with diabetes mellitus and pulmonary sarcoidosis. Biopsy showed a granulomatous infiltrate of epithelioid histiocytes and multinucleated giant cells surrounded by lymphocytes “layered” throughout the dermis. What’s your diagnosis?

A 50-year-old African American woman with type 2 diabetes mellitus and hypertension was admitted with bilateral knee and thigh pain and swelling of both knees. MRI showed extensive edema in the distal thigh and gastrocnemius muscles and in subcutaneous fat. Fluid was seen at the short head of the left biceps femoris. The findings were consistent with diabetic myonecrosis. Which of the following statements about this condition is/are true?

This patient with type 1 diabetes noted a painful erosion at the site of tattoo she had gotten several days earlier. What's the most likely cause?

There are 4 manifestations of this syndrome; each is characterized by involvement of at least 2 glandular organs in autoimmune mediated diseases that lead to organ hypofunction.

Attacks of muscle weakness associated with this condition can range in severity from mild deficit to complete paralysis. Episodes may alternate with periods of normal muscle function.

There are currently 3 sets of guidelines that outline the management of thyroid nodules. A case in point here.

Would you biopsy a 1-cm mobile nodule in the thyroid area of this 55-year-old woman who had mantle field radiation for a childhood cancer?

A 38-year-old woman became pregnant during the time she was undergoing evaluation for a pituitary adenoma. Here, see the case unfold.

Has this teen been abused? Cast your votes and see if you’ve answered this and the 4 other questions in this week’s quiz correctly.

A little bit of knowledge can be a dangerous thing, and I am proof. There is a lot more to the saga and much of the information is essential to decision making in primary care practice on whether or not testosterone replacement is indicated.

Aldosterone has significant effects on vascular function and can decrease flow-mediated vasodilation.

Elevated serum gastrin will help confirm the presence of gastrinoma or multiple endocrine neoplasia type 1.

Incretin-based T2DM therapy is not a direct cause of pancreatitis or pancreatic cancer asserts the European Medicines Agency.