
Editors at Medpage Today have been scouting for health apps that make dubious--even dangerous--claims. Here's an update on BP apps.

Editors at Medpage Today have been scouting for health apps that make dubious--even dangerous--claims. Here's an update on BP apps.

Family doc/psychiatrist Erik Vanderlip points to 3 big elephants in the room at the 2016 American Psychiatric Association meeting.


When -- and how -- to treat patients co-infected with TB and HIV? Insights here.

PrEP is likely to be cost-effective, regardless of which regimen, or which route, is used. Here: the latest from CROI.

8 medical stories from the popular press that your patients are reading...you should, too.

Many patients who've suffered TBIs have persistent sleep problems, but won't necessarily go to a doctor about them.

The 6 cases here provide a sampling of the many possible causes of bruising and a test of your diagnostic acumen.

If the answer to the question "Does PSA screening save lives?" is "yes," where do we go from there?

If we support the basic survival needs of the homeless first and stay fully invested in their progress, we could actually have a shot at success.

Polypharmacy and undisclosed complementary/alternative medicines increase the risk for unforeseen interactions.

VIDEO: Palpitations persist in ED; no history of cardiac issues. Incident is first of its kind for this patient. Watch the interview.

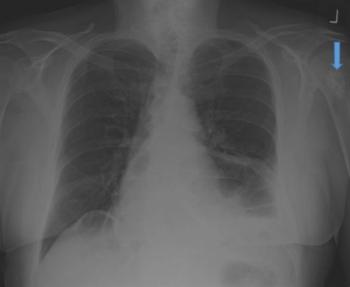
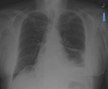
Chest x-ray in an older man confirmed a diagnosis of pneumonia but revealed an asymptomatic lesion in the left humerus. What is in the differential?

VIDEO: Note marked tumescence in patient’s hands, pitting edema in lower extremities. Does PMH contribute? Dx?

At TEDMED, medicine's version of TEDTalks, Dr Pam Wible talks in earnest about physician suicide--and how to stop it.
A 3-part quality improvement intervention targeted NSAID and antiplatelet prescribing in primary care and reduced inappropriate Rx by 37%.

Scientific studies have shed new light on the validity of popular folk remedies. Take this quick quiz to sort the fact from the fiction.

A new review on the topic in the NEJM covers everything you need to know. We preview with a short Q&A for primary care.

A normal therapeutic course for Mildronate is 4 to 6 weeks, per labeling. It was first prescribed for Sharapova 10 years ago.
A young doctor writes of the horror she felt at learning about the apparent suicide of a medical resident who lived in her building.