
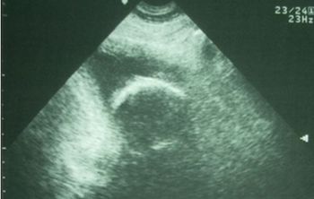
A 63-year-old man with hypospadias presents with ischuria x2 days but his bladder is barely enlarged. What do you see on the ultrasound?

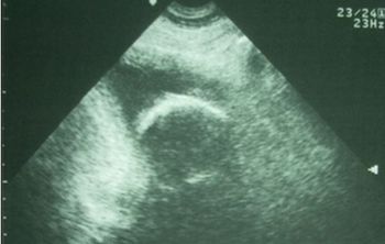
A 63-year-old man with hypospadias presents with ischuria x2 days but his bladder is barely enlarged. What do you see on the ultrasound?

And now, back by popular demand ... 8 medical sentences that could benefit from a little editing.


Consumption of caffeine can have both positive and negative effects on patients’ health. Take this quiz to test what you know.

The annual visit rate to a physician for obesity in 2012 was 49 per 1000 people, according to the latest CDC report.

Because it makes medical and financial sense, says our blogger who is a psychiatrist and family physician.

In case you missed these February headlines, here are 5 stories from around the Web of interest to primary care.

VIDEO: Patient reports worsening pain/bleeding x 4 days; history of diverticulitis. Watch abdominal exam, interview. Your impressions?

In case you missed these January headlines, here are 7 stories from around the Web of interest to primary care.

Eating skunk fat, stepping in warm cow dung-2 folk remedies that do not work. These slides explain 8 others that do.

SLIDE SHOW: A brief history of the science & art of healing and some of the physicians who led the way. Click here to see where it all began.

Take this brief quiz to test your knowledge of the events and trends of 2015 that may matter most to you.

VIDEO: The patient describes the pain as sharp and says movement and leaning forward make it worse. Your suspicion?
The title of her upcoming book, these words also describe a personal mission for Pamela Wible, MD.

British modelling study calculates significant drops in overweight, obesity, and obesity-related diabetes via reducing sugar in beverages alone.

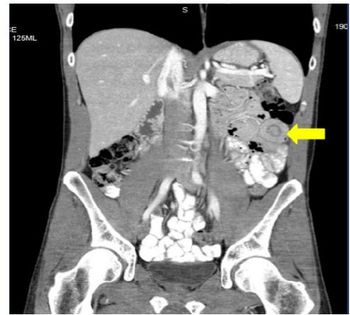
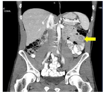
Most adult intussusceptions are caused by structural lesions, lead points for many of which are malignant neoplasms.

Is beer, the world’s most widely consumed alcoholic beverage, good for patients’ health? Put your knowledge to the test in this quick quiz.

A pain management specialist reviews the strengths and points out the weaknesses in the proposed recommendations.
Physicians and students speak out about how to step back, even step out if you need to, and reimagine your passion for healing.

A seasoned rheumatologist provides a list of distinctive clues to a diagnosis of fibromyalgia that you won't find in the guidelines.