VIDEO: A 12 y/o girl reports 5 episodes (45 mins each) of headache, hemiplegia in the past 24 hours. Can you make the Dx?
All News

“The most commonly used drug in the world” may lead to physical and psychological ill effects. These 10 slides provide a concise review of the risks and what to do about them.

We asked physicians what their resolutions were for 2016, either personal or professional. Here's what they said...

Medicine made some big news in 2015. These are the stories we think will make the biggest difference for primary care physicians.

Turing and Valeant Pharmaceuticals are the poster children for egregious price hikes that compromise patient care.

VIDEO: The patient says her "heart was beating out of her chest." Complains of dyspnea, faintness. PMH, here. Your Dx?

The patient also has pain when she laughs. Physical examination and lab results are all normal -- with one exception. Can you make the diagnosis?

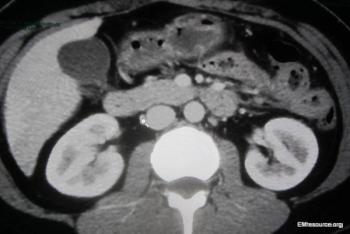
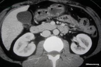
Fitz-Hugh–Curtis syndrome is an infectious perihepatits that accounts for approximately 5% of pelvic inflammatory disease.

An FDA drug safety communication cites more than 70 cases of ketoacidosis and 19 "life-threatening" cases of urosepsis and pyelonephritis.

Here is a quick look at some of the drugs most recently FDA-approved for primary care diseases.

A range of options for metastatic castration resistant prostate cancer offer benefits, but impact on survival and sequencing guidance are less than optimal.

In this slide show we share a selection of 2015 articles by physicians that were notable for the author's message, mission, or both.

Patient has avoided medical consult despite left arm pain and weakness because she did not note any alarming facial change.

As new teaching replaces old, it seems testosterone replacement may have gone from bad to good and even very good. Here’s how.

A new study found no major structural effect on the knee joint after 2 years of intra-articular steroid injections.

Puzzle out the cause of an unusual bruise on the ankle of a young boy in this slide show based on a true story.

AMA VP Christine Sinsky, MD, interviews Dr Wible about physician suicide, barriers to mental health care for physicians, and potential solutions.

Patient describes extreme pain and submandibular progressive swelling after molar extraction several days earlier. Watch video exam.

From around the web, here are snippets from -- and links to -- 6 very recent reports that you may not want to miss.

As we pause to give thanks, consider this new and promising approach to patient care. Ten slides offer 10 key ingredients of using food as Rx.
