No labs, no biopsies, no imaging -- only your seasoned clinical judgement is required to make a diagnosis in this case.
Polls

A compressible groin swelling is the only abnormal feature after full-term gestation and unremarkable delivery. Your Dx?
The teen presents for an annual physical. You note asymmetric papular lesions that cover his trunk. What is your diagnosis?
This lesion on the posterior neck of a young woman was present since birth and recurred after electrodessication. Can you Dx?

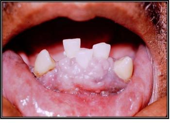
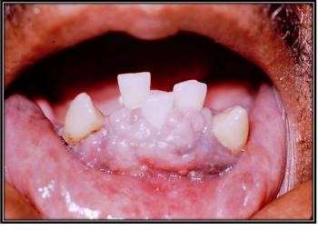
What is in your differential diagnosis for this lesion observed in the mouth of a 52-year-old man?

The eruption has been present for 1 year and is restricted to the perioral region. What is included in your differential?

What is the cause of this erythematous rash that appeared suddenly and spread rapidly on the child's trunk and extremities?

A young mother’s “high coloring” consists of papular, flesh-colored lesions that resemble telangiectasia. Can you ID?

Video: Patient's ADLs were unaffected by symptoms until 2 days ago. She arrives at ED directly from PCP's office, after echo. Dx?

VIDEO: The child's hands are chronically dry but the skin has recently begun to crack; vesicular rash appeared after an ocean swim. Dx?

PT Video: A short course of steroids was ineffective. He returns to ED c/o worsening joint and abdominal pain. Can you Dx?

VIDEO: Palpitations persist in ED; no history of cardiac issues. Incident is first of its kind for this patient. Watch the interview.

VIDEO: Note marked tumescence in patient’s hands, pitting edema in lower extremities. Does PMH contribute? Dx?

What disease, known in antiquity but largely eradicated from the developed world, caused this severe facial scarring?

What is the acceptable balance between benefit and risk to prevent a vaccine's being pulled from the market? See what you recall about these 3 cases.

VIDEO: The non-pruritic rash began on his chest and spread rapidly over 3 days. Get a closer look; what's your diagnosis?

The 60-year-old black woman has a history of joint pain, muscle weakness, and Raynaud phenomenon. Why the “dirty hands”?

VIDEO: Patient reports progressive weakness x1 month. Acute abdominal pain/emesis began earlier in the day. What's in your differential dx?

Video: The lesion bleeds easily and grows back quickly when "knocked off."

The patient’s reach with his thumb helps distinguish between frozen shoulder and osteoarthritis. How high is enough to tell?

