
This asymptomatic, hyperpigmented lesion was first noted 5 years earlier on the left upper back of a 16-year-old boy. A nevus? Cafe au lait spot?

This asymptomatic, hyperpigmented lesion was first noted 5 years earlier on the left upper back of a 16-year-old boy. A nevus? Cafe au lait spot?

This monomorphic papular rash is unrelated to medications, recent sickness, or exposure to poison oak. It developed about 6 days earlier.

This highly pruritic rash has been present for about 2 weeks. The teen says he believes it is spreading. What's your diagnosis?

A macular rash has been spreading for 5 days after the cheerful child started amoxicillin therapy. What’s the most likely cause?

What would your diagnosis be in this young man and how would that inform your next step?

These 2 patients presented with a swollen hand and rapidly proximally progressive edema secondary to a bite. What creature did the biting?

This radiograph from a 53-year-old woman revealed esophageal stricture with proximal dilatation in addition to pneumoperitoneum. Pneumatosis cystoides intestinalis (PCI) was diagnosed.

A 60-year-old homosexual man presented to the outpatient clinic with a 3-day history of facial rash associated with pain. The rash did not affect any other part of the body. He was not currently taking any immunosuppressive medication. What’s your diagnosis?

A 58-year-old man asks about this painless lesion on his left third digit. It does not itch, burn, or sting and there are no other similar lesions. He had a history of basal cell carcinoma on the arm and several more recent actinic keratoses on his scalp. What’s your diagnosis?

Does this patient need IV PPI, pRBCs, or maybe TLC for now?

This annular violaceous plaque, which had been present for a few months, was unresponsive to treatment for tinea corporis with topical antifungals. Which of the following statements is true?

Few primary care clinicians in the US are likely to face this rare but deadly disease in daily practice. But if one of your patients had symptoms or was infected, would you make the decision to help treat?

A 26-year-old man reports worsening fatigue and weakness for a few months. The patient’s father and grandfather had colon cancer when they were in their 40s. Colonoscopy revealed innumerable polyps carpeting the mucosa from the rectum to the cecum. Your diagnosis?

Acromegaly was diagnosed in a 36-year-old woman who presented with loss of vision in the right eye that had initially involved the peripheral field. Which statement about acromegaly is NOT true?

A 62-year-old man has moderate to severe leg pain after playing 36 holes of golf. The pain originates from the lumbar spine and radiates into his lower extremities. What is the best course of treatment?

A 66-year-old woman had a mildly pruritic rash on the buttocks, lower back, abdomen, and upper posterior thighs. The eruption had been present for approximately 18 months. Your diagnosis?

A 45-year-old man with knee pain has medial osteoarthritis, and you prescribe NSAIDs. He plans to attend tennis camp. Do you recommend he wear a brace?

A 56-year-old woman presents with persistent pain and tenderness in both hands. A workup reveals she has erosive osteoarthritis. Which factors are most strongly associated with increased pain?

A 62-year-old man had multiple, randomly distributed, flesh-colored nodules on his trunk, arms, and face. The lesions measured 0.5 to 1.0 cm and appeared slightly pedunculated. Tissue biopsy showed Schwann cells. Your diagnosis?

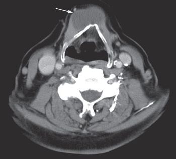
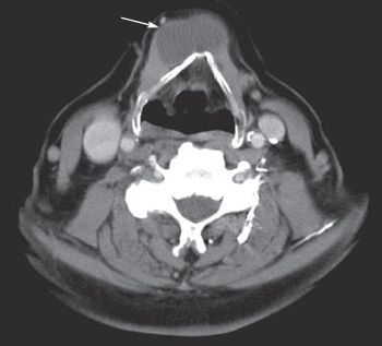
For several years, an asymptomatic, firm, nontender mass had been growing on the neck of a 54-year-old-man, slightly left of midline at the level of the hyoid bone. Thyroid function tests were normal. What does it indicate?