Articles by Eric J. Lewis, MD

Loss of pigmentation was noted around the left eyeof a 49-year-old man-the same eye in which hehad a detached retina. In addition, the patient'shearing was impaired on that side. These findingswere consistent with the diagnosis of Alezzandrinisyndrome, the major manifestations of which includeunilateral degenerative retinitis, ipsilateral facial vitiligo,poliosis of the eyebrows and eyelashes, and ipsilateralhearing deficits.

Extremely itchy, crusting nodules appeared on the arms and legs of a 42-year-old woman who was undergoing renal dialysis.

Cutaneous manifestations develop in approximately 30% of persons with diabetes. Premature atherosclerosis is a common complication of the disease that can cause peripheral infarction, ulceration, and necrosis.

This rare condition affects both men and women. The average age at onset is 53 years. The lesions are deep brownish red to purple papules, nodules, and plaques. Blisters and ulcers also can occur.

Relapsing polychondritis, as manifested in one of this 55-year-old man's deformed ears, is a rare, chronic, autoimmune inflammatory disease of cartilaginous structures. The disease also affected the cartilage in this patient's nose, which is the second most common site of involvement. Tissues of the joints, eyes, and blood vessels as well as the trachea and the bronchial tree may also be affected and destroyed.

A 61-year-old woman who was receiving dialysis for diabetes-associated end-stage renal disease was hospitalized for care of an abdominal wound that had been debrided and closed. At this time, the patient had several large, indurated, red plaques with central, stellate, black eschars on her abdomen, left buttock, and legs. An early focus of ulceration was noted superior to the stapled incision.

A 63-year-old woman who was on long-term hemodialysis because of diabetic end-stage renal disease had a 7-month history of waxing and waning papules and plaques on the front of both legs. The asymptomatic multiple, discrete, slightly erythematous, round to oval lesions ranged from 5 mm to 3 × 4 cm. Several had heaped-up borders and contained central crust and keratotic debris; others were superficial ulcers with central eschars. The lesions improved only slightly following twice-daily application of a superpotent topical corticosteroid preparation.

A 55-year-old-man complained of joint stiffness and red, mildly tender plaques on his fingers. He had recently sustained a trauma to the hand while at his job as a fish handler. The condition was diagnosed as erysipeloid-a skin infection caused by the gram-positive bacillus Erysipelothrix rhusiopathiae.

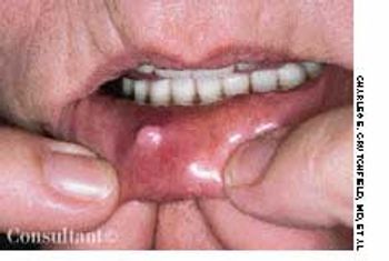
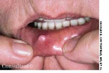
The painless lump on this 30-year-old woman's lip is a mucous cyst, or mucocele-the result of mucus retention within a salivary gland due to trauma or obstruction of a duct. This asymptomatic, dome-shaped, translucent, blue-white cyst is usually located on the inner surface of the lower lip or on the floor of the mouth.

A 47-year-old woman from Southeast Asia presented with erythematous, asymmetric, anesthetic, sharply marginated plaques on her lower arms and hands. Because this patient had emigrated from a tropical climate, leprosy was suspected.

This lesion erupted on a 58-year-old man's right palm, and several tense bullae also were visible on the trunk. The patient complained of mild pruritus. He had no history of similar lesions. A routine skin biopsy was performed, and the diagnosis of hemorrhagic bullous pemphigoid was made.

During a routine skin cancer screening, yellowed, thickened, leathery skin was noted on the posterior neck of a 73-year-old retired construction worker. Colloquially, this condition is called “sailor's skin” or “farmer's skin” and is seen in persons who have had long-term exposure to the sun. It is known clinically as cutis rhomboidalis nuchae, because the well-defined furrows in the skin resemble an irregular rhomboidal pattern.

An otherwise healthy 4-year-old boy was brought for evaluation of a mildly pruritic rash, which had been present for approximately 8 months. The developmental history of the eruption was equivocal, and the child's mother reported no aggravating or ameliorating factors.

A 17-year-old high school athlete was anxious about this new “mole” that appeared on the heel of his right foot. His concern was prompted by the recent diagnosis of melanoma in his aunt.

An otherwise healthy 34-year-old woman was concerned because of the abrupt onset of rapid hair loss, accompanied by scaling of the underlying skin. The disorder had begun 3 months earlier, and the right parietal and temporal areas were now red and swollen and had adherent scale. An antinuclear antigen titer was negative. Biopsy revealed changes consistent with lichen planus of the scalp, also known as lichen planopilaris and lichen planus follicularis.

A 44-year-old woman was being seen regularly for skin manifestations of systemic lupus erythematosus (SLE). During a routine visit, blotchy erythema and hyperpigmentation were noted on the normally exposed areas of her neck and upper chest; the submental area was spared. Close examination revealed fine telangiectases and poorly marginated hyperpigmented and hypopigmented macules.

A 63-year-old farmer first noticed multiple rough bumps on his hands and feet at least 20 years before pointing them out to his physician. A diagnosis of arsenical keratoses was made after the patient reported that as a child he had worked on his family's potato farm, where a commonly used pesticide, “Paris Green,” was applied to the plants. The active ingredient in this pesticide was inorganic arsenic.

A 40-year-old man presented with tiny, intensely pruritic vesicles on the knees, legs, buttocks, elbows, and scalp.

A 32-year-old woman became concerned about the numerous bumps on her upper face, which had been increasing in number for many years. Examination revealed clusters of 2- to 3-mm lesions-mostly monomorphic, flesh-colored papules lateral to the eyebrows and on the central forehead, inferior-medial eyelids, and upper cheeks. Some of the papules had a slight pink or yellow-brown appearance, and poorly demarcated brown patches (melasma) were noted on the cheeks.

A scaling, red, fissured area between digits 4 and 5 on her right hand sent a 33-year-old woman to her physician. Diagnosis of interdigital Candida was confirmed by a potassium hydroxide evaluation of material from the site.

Although tinea versicolor is fairly common, its appearance on the face and neck is unusual, notes Robert P. Blereau, MD of Morgan City, La. His patient, a 30-year-old woman, exhibits the pale, rounded, fine-scaled lesions typically found on tanned or dark-skinned persons.

The sharp transitions in pigmentation on the anterior surface of the arms of this 49-year-old black man were noted as an incidental finding. The arms' lateral aspects were distinctly more deeply pigmented than the medial aspects. In addition, a hyperpigmented band was present over each pectoral area, while a hypopigmented vertical stripe covered the sternum. These symmetric transitions in pigmentation are normal variants found most commonly in blacks and are known as pigmentary demarcation lines.

A 69-year-old woman, who was being seen regularly for treatment of psoriasis, was noted to have numerous open comedones on the sides of her face in association with photodamaged skin.

After having been bothered by these lesions for the past 9 months, a 27-year-old woman described the eruption as "itchy bumps under my arms."

A 61-year-old man with a history of squamous cell carcinoma was concerned about a tender nodule on his ear. He complained of exquisite tenderness with pressure, such as when lying on the affected side at night.

A recent outbreak of small-plaque and guttate psoriasis was confined primarily to the arms of this 32-year-old woman. The slightly scaly, brick-red, linear plaques and clusters consisted of 3- to 10-mm papules, some of which were surrounded by a faint whitish ring. It was quickly ascertained that many of these lesions corresponded to areas where the patient had been scratched by her cat.

Referral for biopsy was made because a 6-mm, red and black, dome-shaped papule on a 43-year-old woman's left groin resembled a melanoma. The patient had numerous cherry hemangiomas on her trunk-bright red, 2- to 5-mm papules that are among the most common vascular anomalies.

A 57-year-old man with a history of venous stasis leg ulceration wondered about the “white spots” on his leg.

The dark red plaques seen here developed rapidly under both arms of this markedly obese 43-year-old woman. The lesions spread concentrically, forming necrotic ulcerations with overhanging borders, and there was surrounding violaceous discoloration. No other areas of the patient's body were involved, and she was otherwise in good health.

Five days after beginning aggressive treatment with intravenous corticosteroids for inflammatory bowel disease, this 26-year-old man noticed the sudden eruption of this mildly pruritic rash.