
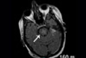
Lhermitte-Duclos disease is a rare, slow-growing, benign lesion of the cerebellum and is considered a hamartomatous tumor of the cerebellar cortex.

Lhermitte-Duclos disease is a rare, slow-growing, benign lesion of the cerebellum and is considered a hamartomatous tumor of the cerebellar cortex.

Autosomal dominant polycystic kidney disease (ADPKD) is common. Presenting symtpoms include hypertension, hematuria, proteinuria, and renal insufficiency.

Phrenic nerve paralysis can present with chest wall pain, cough, and exertional dyspnea mimicking cardiac dyspnea. Fluoroscopy is the most reliable way to document diaphragmatic paralysis, and the sniff test confirms that abnormal hemidiaphragm excursion is due to paralysis rather than unilateral weakness.

A 92-year-old woman presented with a 6-month history of progressively worsening fatigue, weight loss, generalized bone pain, and dyspnea on exertion. A skeletal survey found lytic lesions in the pelvis, sacrum, and calvarium (shown here).



An 86-year-old woman presented with a 1-week history of worsening dyspnea, wheezing, and orthopnea. She denied chest pain, cough, or fever. She did not smoke cigarettes. Her oxygen saturation was 86% on 2 L/min via nasal cannula.

Published: November 1st 2011 | Updated:

Published: January 14th 2012 | Updated:

Published: July 10th 2012 | Updated:

Published: August 10th 2012 | Updated:

Published: May 22nd 2012 | Updated:

Published: February 28th 2012 | Updated: