
Kunatum Prasidthrathsint, MD
Advertisement
Articles by Kunatum Prasidthrathsint, MD



A 59-year-old woman with chronic hepatitis C presented with abdominal pain that had grown progressively worse during the past 3 months.
Advertisement
Latest Updated Articles
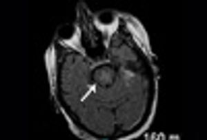
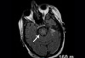
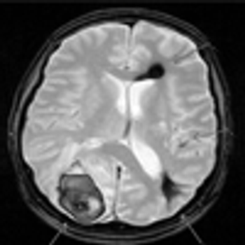
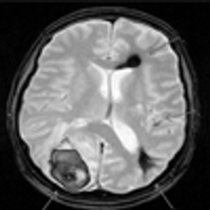
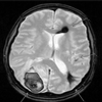
Intracranial Bleeding From Cerebral Amyloid AngiopathyPublished: June 8th 2011 | Updated:
A Middle-Aged Alcoholic Woman With HyponatremiaPublished: January 14th 2012 | Updated:
Renal Abscess Caused by Klebsiella PneumoniaePublished: February 28th 2012 | Updated:
Advertisement
Advertisement
Trending on Patient Care Online
1
Geriatric NP Carolyn Clevenger Discusses Agitation in Alzheimer Disease: Overlooked, Misunderstood, and Progressive
2
Otsuka Submits NDA to FDA for Centanafadine for Treatment of ADHD Across the Lifespan
3
Efficacy and Safety of Elinzanetant in Vasomotor Symptoms in Menopause
4
Efficacy and Safety of Elinzanetant in Vasomotor Symptoms in Women With Breast Cancer Receiving Endocrine Therapy
5

