
Charles B. Howarth, MD
Advertisement
Articles by Charles B. Howarth, MD

Advertisement
Latest Updated Articles
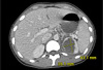
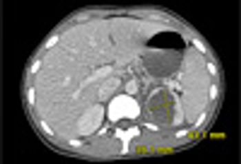
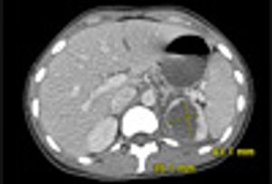
Renal Abscess Caused by Klebsiella PneumoniaePublished: February 28th 2012 | Updated:
Advertisement
Advertisement
Trending on Patient Care Online
1
Geriatric NP Carolyn Clevenger Discusses Agitation in Alzheimer Disease: Overlooked, Misunderstood, and Progressive
2
Otsuka Submits NDA to FDA for Centanafadine for Treatment of ADHD Across the Lifespan
3
Efficacy and Safety of Elinzanetant in Vasomotor Symptoms in Menopause
4
Efficacy and Safety of Elinzanetant in Vasomotor Symptoms in Women With Breast Cancer Receiving Endocrine Therapy
5

