
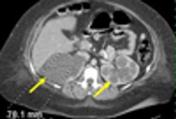
Autosomal dominant polycystic kidney disease (ADPKD) is common. Presenting symtpoms include hypertension, hematuria, proteinuria, and renal insufficiency.

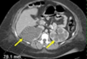
Autosomal dominant polycystic kidney disease (ADPKD) is common. Presenting symtpoms include hypertension, hematuria, proteinuria, and renal insufficiency.

Published: July 10th 2012 | Updated: