
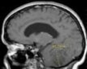
Lhermitte-Duclos disease is a rare, slow-growing, benign lesion of the cerebellum and is considered a hamartomatous tumor of the cerebellar cortex.

Lhermitte-Duclos disease is a rare, slow-growing, benign lesion of the cerebellum and is considered a hamartomatous tumor of the cerebellar cortex.

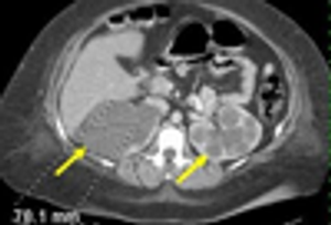
Autosomal dominant polycystic kidney disease (ADPKD) is common. Presenting symtpoms include hypertension, hematuria, proteinuria, and renal insufficiency.

Published: July 10th 2012 | Updated:

Published: August 10th 2012 | Updated: