
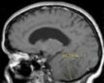
Lhermitte-Duclos disease is a rare, slow-growing, benign lesion of the cerebellum and is considered a hamartomatous tumor of the cerebellar cortex.

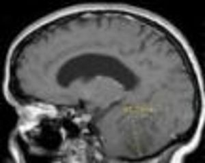
Lhermitte-Duclos disease is a rare, slow-growing, benign lesion of the cerebellum and is considered a hamartomatous tumor of the cerebellar cortex.

Phrenic nerve paralysis can present with chest wall pain, cough, and exertional dyspnea mimicking cardiac dyspnea. Fluoroscopy is the most reliable way to document diaphragmatic paralysis, and the sniff test confirms that abnormal hemidiaphragm excursion is due to paralysis rather than unilateral weakness.

Published: August 10th 2012 | Updated:

Published: May 22nd 2012 | Updated: