
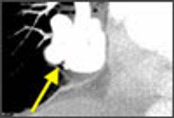
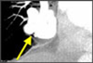
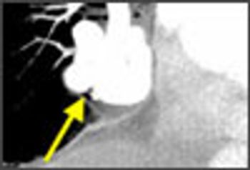
An 86-year-old woman presented with a 1-week history of worsening dyspnea, wheezing, and orthopnea. She denied chest pain, cough, or fever. She did not smoke cigarettes. Her oxygen saturation was 86% on 2 L/min via nasal cannula.

An 86-year-old woman presented with a 1-week history of worsening dyspnea, wheezing, and orthopnea. She denied chest pain, cough, or fever. She did not smoke cigarettes. Her oxygen saturation was 86% on 2 L/min via nasal cannula.

Published: November 1st 2011 | Updated: