
Extremely itchy, crusting nodules appeared on the arms and legs of a 42-year-old woman who was undergoing renal dialysis.

Extremely itchy, crusting nodules appeared on the arms and legs of a 42-year-old woman who was undergoing renal dialysis.

A 72-year-old man presented after several months of dyspepsia and 1 day of hematemesis. He was not taking NSAIDs.

A 15-year-old experienced pain in her toe, particularly when pressure was applied to the foot. An ingrown toenail was the cause of her discomfort.

A 74-year-old man, who had been aware of a gradual increase in hat size over the past 3 years, complained of a mild headache and backache. His serum phosphatase level was 1,475 U/L (upper normal limit, 120 U/L). Skull films showed calvarial enlargement caused by thickening of the cortical tables, radiolucency in the frontal and occipital regions, and patchy osteosclerosis that produced a cotton-wool appearance.

A 50-year-old woman had visited 4 health care providers seeking relief from low back pain. The patient likened the pain to an electric shock that started at the left side of the lower back and radiated to the front of the left leg. The area was also numb.

Progressive weakness and fatigue for the past 6 months prompted a 43-year-old woman to consult her physician. She denied diarrhea, melena, hematochezia, cough, fever, and night sweats. Her skin and conjunctivae were pale.
Consider this diagnosis when a patient presents with a history of rapid, diffuse hair loss. Telogen effluvium affects the entire scalp, but the crown and bitemporal areas may appear to be mainly involved if there is associated androgenetic alopecia.
This rare condition affects both men and women. The average age at onset is 53 years. The lesions are deep brownish red to purple papules, nodules, and plaques. Blisters and ulcers also can occur.

A 72-year-old morbidly obese man who had diabetes mellitus was admitted to the hospital from a nursing home with a fever of 4 days' duration. A tracheostomy had been performed 3 months earlier for respiratory failure. The patient was being treated with corticosteroids for chronic obstructive pulmonary disease.
A 44-year-old man sought relief from severe pain, swelling, and restricted radiocarpal and digital motion of his left hand. Four months before, he had suffered a fracture of the distal radius metaphysis (Colles' fracture), which was treated by closed reduction with long-arm cast immobilization for 6 weeks.

A 38-year-old woman had become increasingly depressed by worsening psoriasis in conjunction with a flare of arthritis in her hands and fingers. The patient complained that she could not function optimally and that her quality of life had diminished.

A 45-year-old man presented with a 2-month history of progressive fatigue, weight loss of 10 lb, abdominal pain, and pruritus. The patient had been taking a maintenance dose of oral mesalamine since he received a diagnosis of ulcerative colitis 14 years before.
These are hyperpigmented, regularly bordered, sharply demarcated macules that are usually tan or light brown in whites and dark brown in dark-skinned persons. The lesions are characterized by an increased number of melanocytes and an increased amount of melanin in the epidermis.

A 33-year-old woman was referred to the endocrinology clinic because of osteoporosis. At age 6, she had fractured her right tibia with no history of trauma; at age 27, she fractured the third lumbar vertebra, and 3 years later she experienced a Colles' fracture of the left wrist. She gave birth to a healthy child 10 years ago.

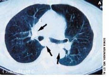
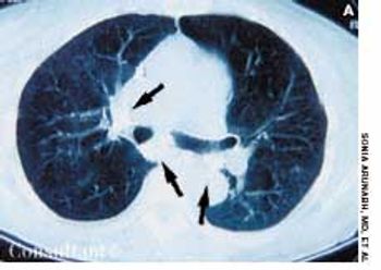
A 2-month history of cough sent a 62-year-old woman for medical evaluation. The patient denied fever, chills, and rigors but reported seeing streaks of blood in her sputum during the past month. The patient had undergone a right nephrectomy 4 years earlier for renal cell carcinoma.

A 10-year-old boy had a headache, fever, cough, and nasal discharge for 2 days. His temperature was 38°C (100.4°F). Mucopurulent, yellow nasal discharge, fetid breath, and tenderness over the maxillary area were noted.

A 72-year-old woman presented for her annual physical examination. She had been treated for tuberculosis 20 years earlier. The patient did not smoke cigarettes; she denied fever, chills, and rigors.

A 65-year-old man experienced a hard fall 40 years ago, when he was a paratrooper: he landed on his right leg and sustained trauma to the right hip.

A 39-year-old man who has sickle cell disease suffers with chronic ankle ulcers typical of the disorder. Ulcerations occur in approximately 50% of persons who are homozygous for sickle cell disease.

This 8-month-old girl presented with chronic constipation, which had begun during the neonatal period. She had her first bowel movement at 72 hours of age. Since then, she has had bowel movements once every 3 to 4 days. Her stools are pelletlike. Results of thyroid function tests done when she was a neonate were normal.