
The potential for ocular side effects in patients taking selective phosphodiesterase (PDE) 5 inhibitors has been documented.

The potential for ocular side effects in patients taking selective phosphodiesterase (PDE) 5 inhibitors has been documented.

When a young girl provides a urine specimen, have her sit backwards on the toilet after wiping with cleansing cloths.

A problem frequently encountered when you tilt the examination table to measure jugular venous pressure is the tendency of patients to slide down the table when the back is elevated more than 15 degrees.

An 83-year-old man presents to the emergency department after he fell down his basement stairs and was unable to walk.

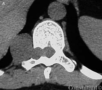
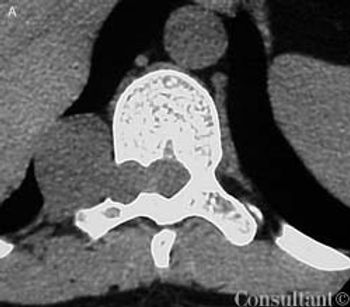
This otherwise healthy 34-year-old man presented with lower thoracic and right flank pain of 2 weeks' duration. The pain followed a T10 dermatomal pattern. He had no other neurologic deficits or signs of neurofibromatosis.

A number of inflammatory diseases have been associated with an increased risk of atherosclerosis. Knoflach and colleagues report findings that support a link between allergic diseases, such as allergic rhinitis and asthma, and atherosclerosis. Their findings came from 2 studies: the Bruneck study, which included 826 men and women aged 40 to 70 years, and the Atherosclerosis Risk Factors in Male Youngsters (ARMY) study, which included 141 male participants aged 17 or 18 years.
A 71-year-old man presented with a 6-week history of decreased vision in his right eye. The patient, who had hypertension and migraine headaches, had successfully recovered from a stroke that occurred 1 year earlier. His medications included aspirin, 81 mg/d, clopidogrel, atenolol, and furosemide. He also took gabapentin, 300 mg hs, for his migraine headaches. He had a remote history of cigarette smoking.

After conservative ring removal methods--eg, lubricants, the string technique--have failed, but before reaching for the ring cutter, try this:

Beware of lost teeth--and the possibility of an aspiratedor impacted tooth!

When you need to obtain an in-officestool sample to test for occult blood,a cotton swab is easy to use and comfortablefor the patient.

Most pain in or around the oral cavity is attributable to tooth or mucosal pathology. However, tooth or mucosal pain may also be caused by a variety of other conditions, including brain pathology; vascular inflammatory and cardiac disease; jaw infection or neoplasm; neuropathic abnormality not associated with central pathology; pathology in the neck and thoracic region; myofascial and temporomandibular joint pathology; and disease of the ear, eye, or nose, or of the paranasal sinuses, lymph nodes, and salivary glands. Accurate diagnosis is facilitated when the features of pain presentation in this region are understood.

An 85-year-old man with a history of hypertension, coronary artery disease, and diabetes mellitus presented with syncope. He had fallen down a flight of stairs and now complained of left shoulder pain

In India, oral cancer is the most common form of cancer and of cancer-related death in men. Researchers in Trivandrum, India, determined that visual screening for oral cancer reduces mortality in high-risk persons. In fact, they estimated that screening can prevent 37,000 oral cancer deaths worldwide annually.

Abstract: Shortness of breath is a common complaint associated with a number of conditions. Although the results of the history and physical examination, chest radiography, and spirometry frequently identify the diagnosis, dyspnea that remains unexplained after the initial evaluation can be problematic. A stepwise approach that focuses further testing on the most likely diagnoses is most effective in younger patients. Early bronchoprovocation challenge testing is warranted in younger patients because of the high prevalence of asthma in this population. Older patients require more complete evaluation because of their increased risk of multiple cardiopulmonary abnormalities. For patients who have multiple contributing factors or no clear diagnosis, cardiopulmonary exercise testing can help prioritize treatment and focus further evaluation. (J Respir Dis. 2006;27(1):10-24)

ABSTRACT: A scheme-based approach, supported by a simple mnemonic, can narrow the broad differential diagnosis of thrombocytopenia. This approach uses findings from the complete blood cell count and the peripheral smear to organize the possible causes of thrombocytopenia into those that affect only platelet count, those that produce both a low platelet count and hemolytic anemia, and those that produce disturbances in all 3 blood cell lines. Causes of isolated thrombocytopenia include viral infections, immune-mediated platelet destruction, congenital diseases, gestational thrombocytopenia, conditions in which splenomegaly is a prominent feature, antiphospholipid antibody syndrome, infectious diseases of bacterial origin, and drugs. Causes of thrombocytopenia in conjunction with hemolytic anemia include hemolytic uremic syndrome, thrombotic thrombocytopenia purpura, and disseminated intravascular coagulation. Disorders that produce disturbances in all 3 blood cell lines include aplastic anemia, myeloproliferative syndromes, myelodysplasia (both primary and secondary), myelofibrosis, myelophthisis, and several other diseases in which splenomegaly is prominent.

The prevalence of type 2 diabetes is expected to continue to increase rapidly, and it is not surprising that the issue of the potential effects of different classes of antihypertensive drugs on glucose metabolism and glycemic control has sparked debate.

16-month-old previously healthy child is hospitalized after 36 hours of worsening painful edema and erythema of the right lower leg and high fever with chills.

A 76-year-old man presents with a sudden severe, painless loss of vision in his left eye.

The case, in which the authors discuss the tattooing used to identify prisoners in Nazi concentration camps, is especially valuable because many people today have difficulty imagining the magnitude of the horrors of the Holocaust and because the number of survivors still alive is decreasing.

A 56-year-old woman presents for a routine examination. She has been healthy, and results of previous examinations have been normal.