
A 75-year-old woman had a 1-year history of an anal protrusion, blood-stained mucus discharge, and anal incontinence of flatus and loose stools.

A 75-year-old woman had a 1-year history of an anal protrusion, blood-stained mucus discharge, and anal incontinence of flatus and loose stools.

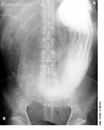
A 36-year-old man was admitted to the hospital with acute mid-epigastric pain and vomiting. He was a heavy drinker and had smoked between 50 and 60 cigarettes a day for the last 15 years.

Frequent urinary tract infections and unexplained hypertension (160/100 mm Hg) occurred in a 38-year-old man with no significant medical history. The heart and chest were normal; a right lower quadrant mass was detected in the abdomen. Red blood cells were found in the urine. An abdominal CT scan demonstrated that the left kidney was fused to the lower pole of the right kidney with the left pelvicaliceal system to the left of the midline; these findings are consistent with crossed fused renal ectopia. Cystographic and cystoscopic examinations were normal.

These benign tumors made up of nevus cells may be flat or raised, pigmented (Figure A) or nonpigmented.

A 17-year-old girl presented to the emergency department with abdominal pain, nausea and vomiting, and diarrhea approximately 9 hours after swallowing 25 tablets (200 mg each) of iron sulfate in a suicide attempt. Her vital signs were within normal limits. She was mildly lethargic; stool was hemoccult-positive.

A 10-year-old boy presented with a limp and occasional pain in the right knee of 2 years' duration. A roentgenogram of the pelvis revealed fragmentation of the right capital femoral epiphysis with an irregular acetabulum.

The pattern of pleural calcification and the patient's history are helpful in determining the usually remote cause of the calcification. Here, Drs Mahesh Duggal, Achal Dhupa, Krishna Badhey, and Arunabh of North Shore University Hospital of Forest Hills, NY, offer 2 cases that illustrate the importance of these data.
Pruritic urticarial papules and plaques of pregnancy (PUPPP). This cutaneous eruption usually occurs in the last trimester. It is seen only rarely in the postpartum period. PUPPP is more common in primigravidas but can occur in any pregnant patient.

A 60-year-old man presented with redness, swelling, and pain on his right lower leg of 3 day's duration. He recalled being scratched by underbrush while hiking in the woods a few days earlier; the patient denied other recent trauma or insect bites.

A 71-year-old man, who had recently returned from a month in Europe, complained of left lower leg swelling and pain of 1-week's duration. For many years, this obese patient had chronic venous insufficiency of both legs and chronic osteoarthritis of the knees that severely limited his ability to walk. The patient was admitted to the hospital with extensive cellulitis of the left lower leg.

For 2 weeks, a 60-year-old man had severe nausea and vomiting. Two years earlier, he had had a cholangiocarcinoma, which was treated with palliative cholecystectomy followed by a course of rebeccamycin, an investigational chemotherapeutic agent.
This 8-year-old girl presented with bilateral ptosis, down-slanting palpebral fissures, malar hypoplasia, mild micrognathia, and mild webbing of the neck. She also had marked lumbar lordosis and a dextroconvex thoracic scoliosis with scapular winging. There was a generalized reduction in muscle mass with proximal limb weakness, short stature, diminished deep tendon reflexes, and an awkward waddling gait.

A 61-year-old woman who was receiving dialysis for diabetes-associated end-stage renal disease was hospitalized for care of an abdominal wound that had been debrided and closed. At this time, the patient had several large, indurated, red plaques with central, stellate, black eschars on her abdomen, left buttock, and legs. An early focus of ulceration was noted superior to the stapled incision.

A 63-year-old woman who was on long-term hemodialysis because of diabetic end-stage renal disease had a 7-month history of waxing and waning papules and plaques on the front of both legs. The asymptomatic multiple, discrete, slightly erythematous, round to oval lesions ranged from 5 mm to 3 × 4 cm. Several had heaped-up borders and contained central crust and keratotic debris; others were superficial ulcers with central eschars. The lesions improved only slightly following twice-daily application of a superpotent topical corticosteroid preparation.

A 40-year-old man was concerned about an enlarging painless mass on the right side of his neck that had been present for 6 months. The patient reported no other health problems; his medical history was unremarkable, and he was taking no medications.

An 11-year-old boy had generalized abdominal pain followed by nausea and vomiting. He had neither diarrhea nor fever. Examination revealed a flat, diffusely tender abdomen with no palpable masses. Pigmented macules were seen on his lips and buccal mucosa. A partial bowel resection had been performed 5 years ago because of intussusception.

A 55-year-old-man complained of joint stiffness and red, mildly tender plaques on his fingers. He had recently sustained a trauma to the hand while at his job as a fish handler. The condition was diagnosed as erysipeloid-a skin infection caused by the gram-positive bacillus Erysipelothrix rhusiopathiae.

Except for a fever of 1 month's duration, a 28-year man had no other complaints. He said he used to smoke marijuana but never used intravenous drugs. His temperature was 39.4°C (103°F), but no other abnormalities were noted on physical examination.

After 6 weeks of persistent low back pain, an overweight 72-year-old woman sought medical evaluation. There was no history of trauma.

Two days of pain in his right leg, which had been swollen for a week, brought this 69-year-old man with type II diabetes to the emergency department (ED). Three months earlier, the patient had undergone a radical retropubic prostatectomy with bilateral pelvic lymph node dissection. Examination in the ED revealed an edematous right leg indurated with a leathery-appearing thigh that was hot to the touch. His temperature was 38.7°C (101.7°F), and his white blood cell count was 21,290/µL with a shift to the left.