
The unusual muscle definition in this 57-year-old man was noted during a routine physical examination. The patient had myasthenia gravis, for which he previously had been treated with prednisone.

The unusual muscle definition in this 57-year-old man was noted during a routine physical examination. The patient had myasthenia gravis, for which he previously had been treated with prednisone.

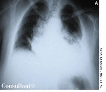
A 44-year-old black man presented to our office with insidious onset of blurred vision. He had no significant past medical history but complained of dyspnea on exertion. On examination, the left pupil was irregular and fixed. A chest film demonstrated bilateral hilar adenopathy. Laboratory findings included normal purified protein derivative test results and elevated angiotensin-converting enzyme levels; pulmonary function studies appeared normal.
An excrescence at the 6 o'clock position at the anal verge is evident on this 8-day-old girl's anus. A hemorrhoid needs to be considered in the differential diagnosis of rectal bleeding in all age groups, since the condition can be present in neonates as well as adults.

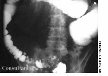
For 2 months, a 73-year-old man had experienced dysuria, pneumaturia, and foul-smelling urine. He had an attack of diverticulitis a year earlier. At that time, he underwent a barium enema study, which showed multiple sigmoid colonic diverticula with spasm.

Levofloxacin, 500 mg/d, had been prescribed for a 74-year-old woman who had a urinary tract infection. The patient had type 2 diabetes and hypertension. She was allergic to sulfa drugs.

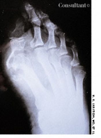
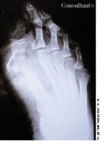
A 72-year-old woman was hospitalized after 8 years of pain and swelling of the right metatarsophalangeal joint. (In this film, the dark area over the distal joint of the large toe is an artifact.) Results of a purified protein derivative tuberculin test were positive, and a chest film revealed apical changes compatible with old tuberculosis (TB).

A 73-year-old man was admitted to the hospital with pain in his hands, feet, and elbows. The patient, an alcoholic, had a 20-year history of hypertension and diabetes. Deformities of the hands and feet had developed during the past 5 years. Tophi were present over both ear lobes. The serum uric acid level was 15 mg/dL.

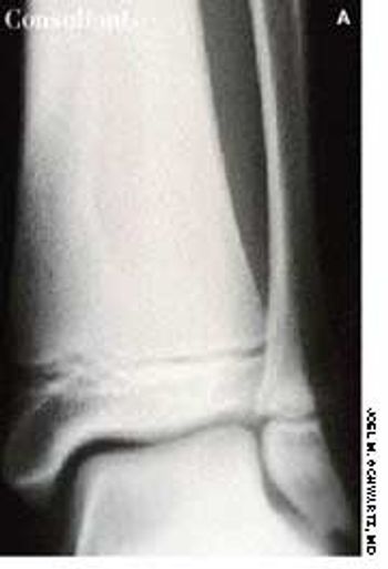
A 15-year-old boy had been experiencing pain in his distal left leg for 7 months. There was mild swelling, and an x-ray film of the lower leg revealed a sharply marginated, vertically oriented, tubular lucency in the metaphysis of the tibia (A). There was no cortical destruction, periosteal reaction, or pathologic fracture. An MRI at high field strength was performed to narrow the differential diagnosis.
This 40-year-old man was punched in the left eye the night before his evaluation.

For many years, a 71-year-old multiparous woman had a painless swelling around her umbilicus that intermittently and spontaneously decreased in size.

Twelve years after having her ear pierced, a 58-year-old woman presented with a keloid on the right lobe's medial surface.
Eyelid spasms and uncontrolled blinking impaired a 75-year-old man's ability to ambulate and to drive. Bright light aggravated the spasms.

Two asymptomatic lesions that had been present for 1 year on the left upper chest of a 61-year-old man were excised. Pathologic examination revealed the raised, dark brown medial lesion to be an interdermal nevus; the lateral, light tan lesion with papules (arrow) was a papillomatous interdermal nevus with primary macular amyloidosis.

A 23-year-old woman presented with medial and lateral pruritic keloids on her right earlobe, which had been pierced several years earlier.

The upper and lower eyelids of a 6-year-old girl were stuck together after she accidentally splashed superglue in her left eye. The patient did not complain of pain; the eyeball was able to move freely under the lids.

For 1 month, a 25-year-old woman had experienced discomfort in and around the left eye and diplopia. She was in good health; she reported no weight loss, excessive nervousness, heat intolerance, decreased strength, changes in the texture of hair or skin, or altered bowel habits. There was no personal or family history of goiter or other thyroid disease.

The mother of this 5-month-old boy was concerned about the large birthmark in the infant's diaper area. This lesion is a bathing trunk congenital melanocytic nevus, writes Dr Sunita Puri of Decatur, Ala.

Traumatic hemothorax usually results from penetrating or contused thoracic injuries that lead to rib fracture and damage of intercostal or pulmonary vessels. Hemorrhagic shock can occur with massive blood loss into the pleural space. The shock state may be exacerbated by decreased venous return.

The husband of a 30-year-old woman noticed his wife's drooping right upper eyelid and encouraged her to seek medical evaluation.

A constricted visual field made it difficult for an 80-year-old man to see to the side while driving. He had recently undergone successful cataract surgery; his visual acuity was normal in both eyes.