
A 46-year-old woman was examined because of cellulitis of the right leg, which she said had been swollen for 30 years.

A 46-year-old woman was examined because of cellulitis of the right leg, which she said had been swollen for 30 years.
A 44-year-old woman was being seen regularly for skin manifestations of systemic lupus erythematosus (SLE). During a routine visit, blotchy erythema and hyperpigmentation were noted on the normally exposed areas of her neck and upper chest; the submental area was spared. Close examination revealed fine telangiectases and poorly marginated hyperpigmented and hypopigmented macules.

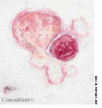
A 2-year-old girl presents to the pediatric emergency department (ED) for evaluation of a fleshy mass protruding from her rectum. The mass, which had been present for 1 day, protruded spontaneously and not during defecation. There is no history of cough, constipation, diarrhea, vomiting, weight loss, or parasitic or chronic disease. However, the child has been having episodic, painless bleeding during the past month. There is no family history of GI disease.

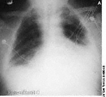
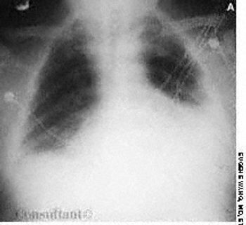
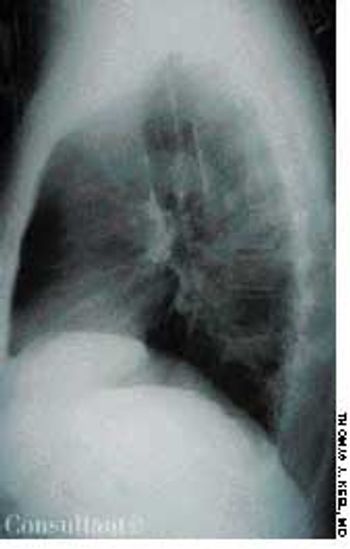
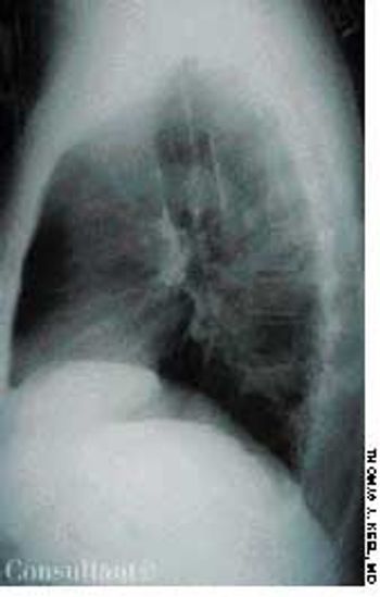
A 40-year-old man was being treated as an outpatient with inhaled corticosteroids and bronchodilators for a presumed diagnosis of bronchial asthma. Worsening episodes of shortness of breath during the past few months sent him to the emergency department for a second opinion.

The raised, fleshy lesion over the lateral conjunctiva of this 7-month-old girl's right eye has been present and gradually enlarging since birth. Consultation with a pediatric ophthalmologist yielded a diagnosis of lipodermoid choristoma, a dermoid-type congenital malformation of the conjunctiva or epibulbar region. Histologic examination reveals benign fatty and ectopic lacrimal tissue and epidermal structures.

Over the previous 6 months, a 59-year-old man had experienced lethargy, fatigue, poor appetite, cold intolerance, and abdominal distention. His vital signs were normal; physical examination revealed periorbital and pretibial edema, distant heart sounds, and delayed reflexes.
This neonate was born with an extra hypoplastic digit attached to the lateral aspect of the left little finger's middle phalanx. When informed of this anomaly on her daughter's hand, the mother registered neither shock nor surprise. Mother, grandmother, and other family members were similarly affected.

A 70-year-old woman with a history of ischemic heart disease was hospitalized because of generalized weakness, fatigue, and retrosternal chest pain on mild exertion. Her skin was pallid. Chest and heart evaluations were normal, and mild hepatosplenomegaly was discerned.

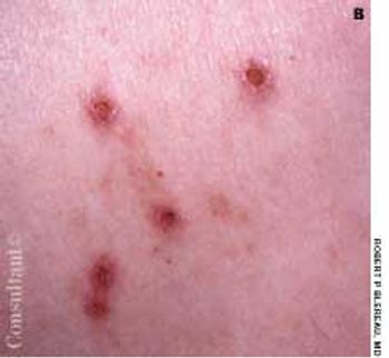
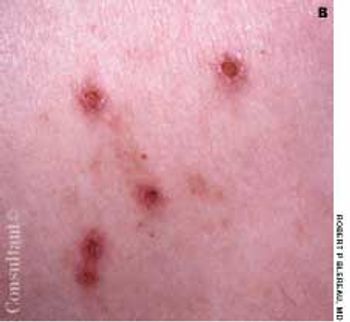
A 42-year-old woman was hospitalized with an increasingly painful, ulcerated swelling of the right lateral thigh. The patient reported that while cleaning out her attic, she suddenly experienced an excruciating burning sensation in her thigh. Immediately, she rubbed the area with ice, which provided partial relief. An ulcer developed 24 hours later and began to enlarge.

A 40-year-old man presented with tiny, intensely pruritic vesicles on the knees, legs, buttocks, elbows, and scalp.

This 3-year-old child was brought to our ear, nose, and throat clinic for evaluation of the nasal mass that had developed over the previous few months, reports Dr Paul E. Lomeo of Muskegon, Mich. The youngster was known to have congenital problems, including cardiac, renal, and craniofacial anomalies. There was no identified syndrome associated with his health.

Diabetes mellitus recently had been diagnosed in a 58-year-old woman. The patient claims that her skin had darkened significantly over the past 5 years.

Concern about this flat, tan, atrophic, well-marginated, dime-sized lesion prompted a 44-year-old woman to seek medical advice. The lesion, which was mildly pruritic, had appeared 2 months earlier.

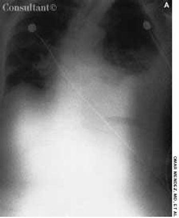
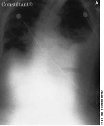
An 85-year-old white woman was brought to the emergency department (ED) with acute, severe left posterolateral chest wall pain of several hours' duration. The nonradiating pain was accompanied by shortness of breath. She denied palpitations, diaphoresis, syncope, or dizziness.

The wife of an 82-year-old man with Alzheimer's disease was concerned about her husband's poor posture. According to the woman, the patient had never sustained a back injury and had always maintained a sedentary lifestyle. He never smoked cigarettes and did not use alcohol. His history included multiple transient ischemic attacks (TIAs).

An area of mottled skin developed on the back of a 55-year-old woman who has had arthritis for several years. She often applied a heating pad to her middle and lower back for relief from arthritic pain.

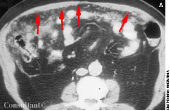
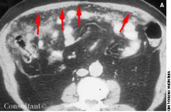
Vague abdominal pain, malaise, anorexia, and the loss of 10 lb in 2 months prompted a 65-year-old man to seek medical evaluation. A year earlier he had undergone surgery for stage III carcinoma of the sigmoid colon. Because metastases to the lymph nodes were found in the resected colon, the patient was given postoperative chemotherapy. Histologic examination revealed poorly differentiated adenocarcinoma.
Also known as congenital aganglionic megacolon, this condition is characterized by a congenital absence of ganglion cells in the submucosal (Meissner) plexus and the myenteric (Auerbach) plexus in one or more segments of the colon. This is attributable to a failure of migration of nerve cell elements from the neural crest in a cephalocaudal direction along the GI tract. The absence of parasympathetic innervation causes failure of relaxation of the internal anal sphincter. An aganglionic colon does not permit normal peristalsis to occur and thus results in a functional obstruction.

A 43-year-old man was admitted to the hospital with a 2-day history of nausea and vomiting. He vomited about 6 times each day. Cerebral palsy had been diagnosed in childhood; the patient used a wheelchair.
An infant born to a 25-year-old gravida 2 para 1 mother by cesarean section at 36 weeks' gestation had loops of small intestine protruding from the abdominal cavity.