
A 23-year-old woman presented with medial and lateral pruritic keloids on her right earlobe, which had been pierced several years earlier.

A 23-year-old woman presented with medial and lateral pruritic keloids on her right earlobe, which had been pierced several years earlier.

The upper and lower eyelids of a 6-year-old girl were stuck together after she accidentally splashed superglue in her left eye. The patient did not complain of pain; the eyeball was able to move freely under the lids.

For 1 month, a 25-year-old woman had experienced discomfort in and around the left eye and diplopia. She was in good health; she reported no weight loss, excessive nervousness, heat intolerance, decreased strength, changes in the texture of hair or skin, or altered bowel habits. There was no personal or family history of goiter or other thyroid disease.

The mother of this 5-month-old boy was concerned about the large birthmark in the infant's diaper area. This lesion is a bathing trunk congenital melanocytic nevus, writes Dr Sunita Puri of Decatur, Ala.

Traumatic hemothorax usually results from penetrating or contused thoracic injuries that lead to rib fracture and damage of intercostal or pulmonary vessels. Hemorrhagic shock can occur with massive blood loss into the pleural space. The shock state may be exacerbated by decreased venous return.

The husband of a 30-year-old woman noticed his wife's drooping right upper eyelid and encouraged her to seek medical evaluation.

A constricted visual field made it difficult for an 80-year-old man to see to the side while driving. He had recently undergone successful cataract surgery; his visual acuity was normal in both eyes.
A 78-year-old woman with normal vision presented for a routine eye examination. She complained that her eyelids felt heavy and drooped excessively; this condition made her sleepy, especially when she tried to read in the evening.

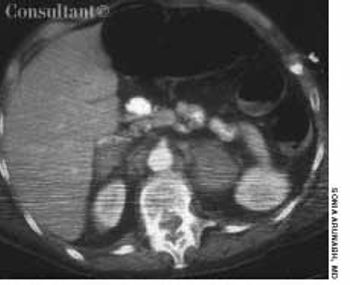
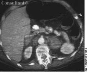
For 3 days, a 30-year-old man had had bilateral flank pain that radiated to the lower abdomen; gross hematuria had accompanied the pain for 1 day.

Three carbon dioxide laser treatments were used to remove a 35-year-old woman's tattoo.

Postoperative inflammation occurred shortly after this 25-year-old woman's earlobes were pierced.
A 63-year-old man's left eye was enucleated after it was severely injured in an automobile accident several years earlier. He chose not to have an artificial eye for his left socket. Thus, pseudoptosis developed, and the socket appeared sunken. The socket tissue was otherwise healthy and intact.

For several months, a 52-year-old woman had nausea, mild dysphagia with solid food, vague abdominal pain, and diarrhea. The patient denied hemoptysis, hematochezia, and melena. Lansoprazole and dicyclomine provided minimal relief of her symptoms.

A 62-year-old woman presented with a rash and intermittent pain of the right upper quadrant. The reticular, brown hyperpigmentation was also seen on her right flank and around the umbilicus. The patient reported that she often applied heating pads to these areas for pain relief.

After exposure to the sun, an erythematous, edematous, pruritic allergic reaction developed at the site of a 22-year-old man's new tattoo.

A 48-year-old woman was admitted to the hospital with deep venous thrombosis of the right leg. She had a history of non-Hodgkin lymphoma, which was in remission. The patient had been a heavy smoker for many years.

For 2 years, a 55-year-old woman's abdomen gradually enlarged; the pace of this growth had accelerated during the last 6 months. The patient, who had not seen a physician in 10 years, denied abdominal pain, nausea, vomiting, constipation, diarrhea, or any change in bowel habits. She had no shortness of breath or weakness. The patient reported no significant medical history, had no allergies, and took no medications. Her mother had died of ovarian cancer.
During a routine eye examination, a 74-year-old woman stated that her left upper eyelid drooped more than the right upper eyelid. The eye muscle imbalance had been long-standing; the patient denied diplopia.

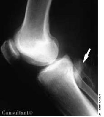
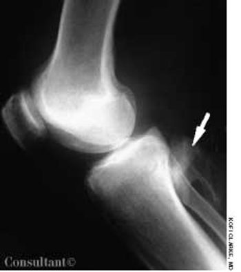
A 44-year-old man with a history of grand mal seizures experienced knee pain while walking. The pain was more severe in the left than in the right knee. The patient had a history of trauma to his left knee caused by falling during seizures.
This 14-year-old boy presented with slowly progressive hypopigmented lesions that had been present on the lower extremities for the previous 2 years.