
A minute, nonpigmented, innocuous-appearing papule on the nose of a 60-year-old man did not seem cause for alarm. However, a simple, 3-mm punch biopsy saved this patient's life.

A minute, nonpigmented, innocuous-appearing papule on the nose of a 60-year-old man did not seem cause for alarm. However, a simple, 3-mm punch biopsy saved this patient's life.

Periorbital, forehead, and nasal erythema, crusting, and pain typical of herpes zoster affected a 90-year-old woman. Reactivation of the latent varicella zoster is more common in the elderly and is attributed to impaired immunologic mechanisms.

A 49-year-old woman, severely obese but otherwise healthy, appeared for a preemployment medical examination. She neither smoked cigarettes nor drank alcohol. She had no respiratory problems and recalled no family history of such. A baseline mammogram taken 4 years earlier showed no abnormalities, and the patient was not under care for any medical condition. Results of physical examination were normal, except for the obesity-which made it difficult to determine breast masses with confidence.

For 7 days, a 10-year-old boy had had a headache and a fever (temperature, 38.8°C [102°F]); a viral upper respiratory tract infection had been diagnosed. His parents brought him to the emergency department when weakness in his right leg developed, which impaired walking.

Police brought a delirious, combative 24-year-old man to the emergency department. The patient was unable to provide any history on arrival, but his scarred, blistering lips and his vital signs (blood pressure, 166/102 mm Hg; heart rate, 97 beats per minute; respiratory rate, 24 breaths per minute; and temperature, 38.2°C, or 100.9°F) led to a possible diagnosis of cocaine-induced delirium.

A 6-year-old girl was evaluated in the emergency department for a leg rash that had spread to the buttocks. The lesions first appeared earlier in the day and worsened hourly. The child's mother reported that her daughter was in good health until a low-grade fever, nonproductive cough, sore throat, and headache developed 5 days earlier. The youngster also complained of neck pain with movement.
The 83-year-old woman whose hands are shown in photograph A had a severe flare of arthritis in the metacarpophalangeal and proximal interphalangeal (PIP) joints after corticosteroid therapy for her asthma was stopped. The clue to the diagnosis of psoriatic arthritis is in her fingernails, which show both pitting and onycholysis.

A 44-year-old woman had a painful, burning rash for 4 months. The erythematous eruption was evident on the thighs, fingers, buttocks, abdomen, and perineal and intergluteal areas. Application of triamcinolone cream and emollients offered no relief.
A 27-year-old woman became extremely concerned when she was unable to pass the vision test required to obtain a driver's license. The patient had Marfan syndrome and “dislocated lenses.” She was otherwise healthy and had no cardiac abnormalities.
A 6-year-old girl presented with a huge ulcer on her right heel, seen here, that began as a minor laceration when she stepped on a rock several months earlier. On the left heel, there was a similar lesion in the process of healing that had also followed a minor injury. Her feet and hands were dry and hyperkeratotic.

The parents of a 6-year-old boy with a generalized rash sought medical care for the child. The outbreak began 2 years earlier on the boy's abdomen and spread over the entire body; oral antihistamines had been prescribed for the itching. The patient had no history of allergy, insect bite, fever, or GI symptoms. His vital signs were normal.

For the past 2 hours, a 19-year-old man had lower abdominal pain accompanied by nausea and vomiting. He had no fever and no diarrhea. Direct tenderness was mainly in the right lower quadrant, radiating slightly to the left lower quadrant. There was no significant rebound tenderness. The patient refused rectal examination.

Pingueculae-yellow lipid deposits-may develop on the bulbar conjunctiva after several years of exposure to drying, dust, and the UV rays of sunlight. They represent elastotic degeneration of the substantia propria and are not seen in infants or children. These lesions usually are evident on the nasal aspect of the conjunctiva; they are innocuous and require no treatment.
Many disorders that scar the skin also affect the scalp. Systemic lupus erythematosus, when associated with high fever and extensive systemic involvement, can cause a diffuse anagen effluvium. Hair loss caused by localized discoid lupus erythematosus (DLE) is more common. DLE may affect the scalp, where it is seen as circumscribed areas of often irreversible hair loss.

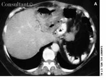
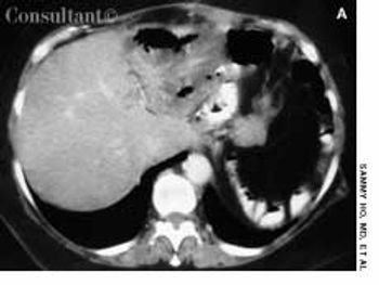
A 72-year-old woman with acute abdominal pain and vomiting was brought to the hospital. The patient had no significant medical history and was taking no medications.

Numerous plaques, some with yellow crusting and central scarring, had erupted primarily on the face and neck of a 46-year-old man. A single lesion had developed on his left elbow as well. The lesions were initially diagnosed as impetigo, but they failed to resolve after 2 courses of oral cephalexin.

For several weeks, a 30-year-old woman had a 1 × 2-cm, oval lesion with a rolled border in the inner upper quadrant of the right breast that had progressed in size and ulcerated. Six weeks earlier, she had been bitten by her infant son in the same area. The medical history and physical examination were otherwise normal.

Concerned about the yellow plaque on his upper eyelid, a 45-year-old man sought medical evaluation. The slow-growing, asymptomatic lesion had developed several months earlier.

Three weeks after undergoing gastric bypass surgery for obesity, a 64-year-old woman presented with fatigue, chills, and abdominal pain of 2 days' duration. She denied shortness of breath, nausea, vomiting, changes in bowel habits, melena, and hematochezia. The patient had no significant past medical history.

A 16-year-old boy was evaluated for elephantiasis in a remote village in the mountains of Kenya. He complained of drainage from his left leg and reported that for the past several months, after the limb swelled, fluid began to weep from the bottom of the foot. He denied pain in his leg or foot and reported no fever, chills, or sweats.