
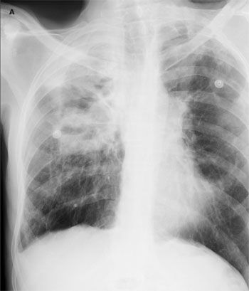
A 43-year-old white man presented to the emergency department with dyspnea, abdominal bloating, fever with chills, night sweats, decreased oral intake, and myalgia of 1 week's duration. He was found to have heart failure caused by systolic dysfunction. Viral myocarditis was the presumptive diagnosis after investigation for other causes.









































































































































