
Persons who are unresponsive to the standard hepatitis B virus (HBV) vaccine regimen may benefit from a revaccination series using a double dose of the combined hepatitis A virus (HAV) and HBV vaccine.1,2

Persons who are unresponsive to the standard hepatitis B virus (HBV) vaccine regimen may benefit from a revaccination series using a double dose of the combined hepatitis A virus (HAV) and HBV vaccine.1,2

A 47-year-old Hispanic woman with severe headaches of 1 month’s duration presents to the emergency department (ED). The pain encompasses the entire head, is constant and crushing (10 on a scale of 1 to 10), and has progressively worsened.

A patient comes to her physician for instructions consequent to the discovery of diverticular disease. She is cautioned to avoid high-residue foods, such as nuts, seeds, popcorn, and corn either on or off the cob, because the by-products of these foods might lead to trauma or obstruction at the diverticular opening in the colon, resulting in brisk bleeding or infection.

Two weeks before admission, he had visited the emergency department (ED) because of the headache. Migraine was diagnosed and ibuprofen had been prescribed. The headache persisted despite NSAID therapy, and the patient returned to the ED 2 days later.

This acute pruritic eruption developed on a 49-year-old woman’s thigh after she had been doing yard work. She promptly sought medical attention at the emergency department. Because cellulitis was suspected, she was given ceftriaxone and an oral cephalosporin was prescribed.

A previously healthy 16-year-old boy presents for evaluation of a slightly pruritic, nontender, generalized rash.

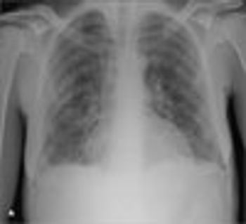
During the evaluation of a 61-year-old man who had sustained mild head and upper trunk injuries in a car accident, a right lower lobe consolidation was noted on the chest radiograph. There was no evidence of rib fracture. A chest CT scan with contrast showed a hilar mass that obstructed the lateral segmental bronchi of the right lower lobe. Atelectasis of the posteromedial segments of the right lower lobe and ipsilateral subcarinal adenopathy were also noted.

For about 10 years, a 26-year-old man had recurring cystic lesions on his scalp that would periodically enlarge, shrink, and occasionally drain. One lesion had been excised by another physician, but it later recurred. The patient had been taking minocycline (100 mg) daily for this condition.

A 36-year-old man presents to the emergency department (ED) after a single tonic-clonic seizure. He has a history of numerous male sexual contacts. HIV infection was diagnosed 5 months earlier. At that time his CD4+ cell count was 66/μL and his HIV RNA level was 20,000 copies/mL.

A 14-month-old infant was brought by his mother for evaluation of fever (temperature, 39.4ºC [103ºF]) and a tender, indurated, warm area with surrounding edema and a centrally located papule in the left groin.

Several readers wrote in response to Dr Andres Pinto’s “Consultations & Comments” answer to a question about treatment options for a patient with severe aphthous ulcers (CONSULTANT, May 2008, page 411). The additional treatments suggested by these readers appear below, along with Dr Pinto’s comments.

It can be difficult to determine whether unusual, paroxysmal behavior represents a seizure or a nonepileptic event. Patients with sudden flailing movements or unresponsive staring may, in fact, be experiencing psychogenic events. Other types of pathological spells, such as syncope and migraine, can also be mistaken for epileptic seizures.

An 84-year-old Ethiopian woman presented with tender, violaceous, nonblanching nodules that had coalesced into plaques on the soles of both of her feet over the past 3 months. Similar discrete nodules were found on the dorsal aspect of her right wrist.

A 59-year-old woman presents with right-sided, nonradiating, “aching” chest pain that has been continuous and increasing in severity for the past 3 days. It began as a tightness that gradually became more painful; it is aggravated by palpation and movement and has not been relieved by acetaminophen.

A 46-year-old man with AIDS (CD4+ cell count, 150/μL) presented with a painful nodular lesion on the plantar surface of his right foot. The lesion had appeared 1 month earlier as a painless, 1-cm, raised, reddish purple nodule and had progressively enlarged to 5 cm. Six months earlier, the patient had cryosurgery to remove a similar, larger lesion on the posterior aspect of his right midcalf.

For a week, a 36-year-old Marine had clusters of localized papular lesions on the right forearm; he had no systemic symptoms. The patient had been inoculated 20 days earlier in the United States with the vaccinia virus (smallpox vaccine) to the ipsilateral shoulder just before deployment. He had no history of eczema, psoriasis, or drug allergies.

For 10 years, a 32-year-old woman has had an asymptomatic rash on both sides of her neck. She is otherwise healthy.Do you recognize this rash?

The term “anaphylaxis” (without protection) was first coined by Richet and Portier in 1902 to describe a “supersensitivity” reaction they observed while attempting to produce tolerance to sea anemone venom in dogs. During their experiments, an unforeseen event occurred.

A 9-year-old asymptomatic boy was referred to our tertiary care facility with a blood lead level (BLL) of 59 μg/dL. A diagnosis of attention deficit hyperactivity disorder, which was managed with amphetamine/dextroamphetamine, had been made when the patient was 6 years old.

Together the spondyloarthropathies form a group of overlapping chronic inflammatory rheumatologic diseases that show a predilection for involvement of the axial skeleton, entheses (bony insertions of = ligaments and tendons), and peripheral joints. They also may involve extraskeletal structures, especially the eyes, lungs, skin, and GI tract.

For 3 days, a 45-year-old woman with HIV infection who was noncompliant with her antiretroviral medications had cough, yellowish sputum, fever, and dyspnea. She denied hemoptysis, weight loss, or recent hospitalization. She had a long history of heavy smoking and alcohol and intravenous drug abuse.

An 18-year-old woman with a history of allergic rhinitis and moderate persistent asthma presented with right-sided nasal congestion of 6 months’ duration. Her symptoms persisted despite her usual allergy medications, allergen immunotherapy, and 2 courses of antibiotics. A sinus CT scan showed complete opacification of the right maxillary sinus with increased attenuation of the mucin. Allergic fungal rhinosinusitis was suspected, and an otolaryngologist was contacted.

A healthy 22-year-old man presents with asymptomatic dark streaks on his abdomen that occurred 1 week earlier while he was on a cruise in the western Caribbean. He says that he shaves the hair on his abdomen.

Tell patients not to wash their hands after they apply medication to treat scabies or lice.

For 5 weeks, a 27-year-old man had a rash with painful fissures on his hands. For the past 2 weeks, he also had mildly pruritic red, scaly lesions on his trunk. He was otherwise healthy, had no allergies, and did not take any medications. The patient denied the use of tobacco, alcohol, and illicit drugs.