
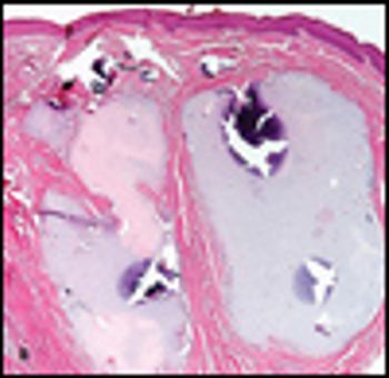
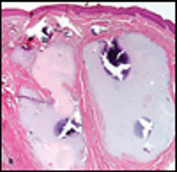
For more than a year, a 65-year-old woman had a nonpainful but nonhealing erythematous papule in the left submandibular area. She denied any unusual exposures or work history. Her most recent dental examination was several years earlier.

For more than a year, a 65-year-old woman had a nonpainful but nonhealing erythematous papule in the left submandibular area. She denied any unusual exposures or work history. Her most recent dental examination was several years earlier.

Match the following characteristics with the clinical disorders pictured in the photographs of Cases 1 and 2. Then read the brief descriptions that follow on the next page to see how well you did.

The plantar aspect of this toe shows purple nonuniform darkening that mimicked either a simple traumatic hematoma or the blue toe syndrome. More proximally, however, the solar aspect contained irregular dark-purple dots reminiscent of individual thrombosed venules, and in addition showed discontinuous purple zones more proximally in the part of the ray that lay within the body of the foot and that surely could not be imputed to any possible toe trauma or fracture nor to ischemia in the distribution of any single vessel. No purple area was warm or tender.

Nitrofurantoin has been widely used for the treatment and prevention of recurrent urinary tract infections since its introduction into clinical practice in 1953. Although it continues to be an effective antibiotic, nitrofurantoin is associated with several adverse effects, including pulmonary toxicity.

Because epidermal integrity decreases with age, eczematous inflammatory dermatoses are more common among older adults than among younger persons.

These lesions on the scrotum of an otherwise healthy 42-year-old man had gradually increased in size and quantity over the past 3 to 4 years. The firm, skin-colored papules and nodules ranged in size from 0.8 to 2 cm. The lesions caused occasional discomfort and itching. No inguinal rash or urethral discharge was noted. There was no sign of a hernia, and both testes were in the scrotum.

A 43-year-old white man presented to the emergency department with dyspnea, abdominal bloating, fever with chills, night sweats, decreased oral intake, and myalgia of 1 week's duration. He was found to have heart failure caused by systolic dysfunction. Viral myocarditis was the presumptive diagnosis after investigation for other causes.

For the past 7 years, a 32-year-old African-American man had multiple nonpruritic scalp abscesses. He also reported intermittent fever and joint pain. The abscesses had been drained on many occasions, and he had received several antibiotics, although no organisms had been isolated. Collagen vascular disease, SAPHO syndrome (synovitis, acne, pustulosis, hyperostosis, osteitis), discoid lupus, and cutaneous sarcoid had been ruled out. During the past 7 years, he had been treated with prednisone, methotrexate, and hydroxychloroquine without any response.

We published a question from John Mosby, MD, who wanted to know why the zoster vaccine had been administered to an older man in an earlier Photoclinic case who had ophthalmic zoster. We also published the response from Dr Tran, which cited the Advisory Committee on Immunization Practices (ACIP) recommendation to administer the vaccine to all patients 60 years or older in whom it is not contraindicated, including those with a history of previous zoster.

Two of the numerous geriatrics offerings at this year’s ACP convention were part of a series entitled “Modifying Your Office Practice for the Tsunami of Older Adults.” This eminently apropos title was actually something of a theme for the convention as a whole. This year, only 3 clinical categories boasted more offerings than geriatrics. Clearly, primary care physicians are beginning to feel the impact of the baby boomers’ coming of age.

Michael F. Holick, MD, PhD, the Boston University professor of medicine and well-known “apostle of vitamin D,” attracted a standing-room-only crowd Friday for a presentation on his favorite topic. It was a performance that had the audience at rapt attention for a full hour-not just because of the celebrity of the speaker, but because of the extraordinarily clever and engaging nature of his presentation.

Probiotics and prebiotics are now widely used by patients – and even present in many common foods.

A 5-year-old boy was brought for evaluation of left leg pain. He had awoken with the pain 2 days earlier.

A 60-year-old laboratory technician complained of a pruritic rash on and around her left ear. It had appeared a few days earlier, shortly after she cleaned her telephone receiver with a disinfectant. A tentative diagnosis of contact dermatitis was made, and treatment with a hydrocortisone cream was initiated.

One of the most important roles for primary care practitioners is the review and implementation of necessary immunizations across a broad spectrum of age.

On the second day of hospitalization for recurrent acute pancreatitis of unknown cause, a 32-year-old man awoke with difficulty in swallowing, throat discomfort, and a swelling in the back of his mouth. He had no history of similar oral symptoms.

Match the following characteristics with the clinical disorders pictured in the photographs of Cases 1 and 2. Then read the brief descriptions that follow on the next page to see how well you did.

For every recognized case of celiac disease, 8 more remain undiagnosed. The reason for this disparity is contingent on the varying presentations of the disease.

A 13-year-old girl is seen because of a genital injury sustained during a fall from her bicycle. Is post-menarchal. Denies any past or present sexual activity, consensual or coercive. Parents report that she has not been ill-adjusted at school and has had no more behavioral issues than her age cohort in recent months.

For several weeks, a 33-year-old man has had an asymptomatic lesion on the head of the penis. He has had a new sex partner in the past few months but is unaware of any health problems she may have. What is the likely cause of this lesion?

A 35-year-old man presents with a scaling rash on the penis of several weeks’ duration. Which of the following would you include in the differential?

Is this penile rash the result of lichen planus? Candidiasis? A dermatophyte infection? Seborrhea? Psoriasis? Click here for the answer.

With advances in chemotherapy, transplantation, and the treatment of diabetes and HIV infection, fungal sinusitis has become increasingly recognized in patients in these at-risk groups.

As a screener and admissions committee member at our medical school (University of California School of Medicine at Davis), I am privileged to review the personal statements of many, many applicants who want to be doctors in spite of the recent hard times in our country that have led more than a few American physicians to believe that our profession is less valued and less desirable as a life work than it has been in the past.

A 62-year-old woman presents with epistaxis from the right nostril. Thenosebleed has lasted about 90 minutes, and she has become alarmedby the amount of blood on the tissues and washcloth she has applied to hernose.