
Distinguish Amebic Colitis from E coli infection faster


Distinguish Amebic Colitis from E coli infection faster

A tip for identifying pinworm infections in pediatric patients.


No typical clinical signature; variable serology; 10% atypical lymphocytes. Here, read more about the essentials in detection and treatment of EBV infection.


Patients with IBD may have discomfort for 3 to 5 years before a diagnosis is made. Many are treated unsuccessfully with antibiotics, anti-spasmodics, or narcotics. Here, read 5 important tips, plus a bonus point, to help streamline diagnosis and management.



Although this patient has been treated by several health care providers for this expanding lesion on his scalp, nothing has worked. The pathology is clearly outside the “normal” realm. What’s going on?


A 50-year-old African American woman with type 2 diabetes mellitus and hypertension was admitted with constant bilateral knee and thigh pain and swelling of both knees, all of 1 week’s duration. The pain was not relieved with hydrocodone/acetaminophen and had caused weakness and subsequent falls.


Here: Ted Rosen, MD, presents 5 tips about 5 skin disorders that you might not know.

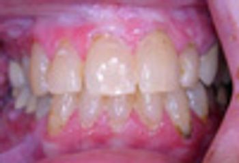
A 52-year-old woman presents with severe intra-oral ulceration and oral pain. She reports that several years earlier, she had been taking cephalexin when severe intra-oral ulceration developed.

What exactly are the new guidelines for vaccinating boys against HPV infection-and why is this development good news for both men and women?

Clostridium difficile infection is a serious, life-threatening nosocomial infection that can follow on the heels of broad-spectrum antibiotic use. It affects over 500,000 Americans annually, with 15,000 deaths. Infection recurs in 15% to 25% of those initially treated successfully; infection subsequently redevelops in 40% to 50% of those an initial recurrence.

If ACG 2011 had a recurrent theme, it was nicely summed up in this lecture: probiotic treatments are coming. Scientific evidence is accumulating for this approach, and patients will likely embrace it as a “natural” remedy. Primary care physicians should carefully follow this emerging trend-it holds promise for some of our most challenging patients with chronic disease.

Like other chronic inflammatory conditions, inflammatory bowel disease (IBD) has been revolutionized by the advent of biologic agents that fundamentally alter the inappropriate inflammatory response. The most potent of these are the biologic agents, infliximab, adalimumab, certolizumab pegol, and natalizumab. They also have the most dangerous side-effect profile.

For better or worse, primary care physicians are encountering increasing numbers of patients who are using complementary and alternative medicines (CAMs) for gastrointestinal syndromes. The use of these agents has exploded over the last decade. Dr. Keshavarzian quoted the 2007 National Health Interview Study from CDC, which revealed that nearly 4 in 10 adults had used a CAM treatment within the past year.

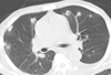
An 86-year-old woman presented with a 1-week history of worsening dyspnea, wheezing, and orthopnea. She denied chest pain, cough, or fever. She did not smoke cigarettes. Her oxygen saturation was 86% on 2 L/min via nasal cannula.

When it comes to treating ulcerative colitis, it’s a jungle out there. This is because the gut is the largest and most complex immune environment in the human body. To successfully treat intestinal tract disorders, therapeutic agents must be delivered at the right time, in the right amount, to the right location.

A 38-year-old openly homosexual man presented with cough and multiple asymptomatic skin lesions on his face.


A 42-year-old homemaker noticed a discoloration on her palm. There were no symptoms, but she was greatly perturbed by her inability to wash this “dirt” off her skin . . .
