
Jacob Blazo, DO
Advertisement
Articles by Jacob Blazo, DO


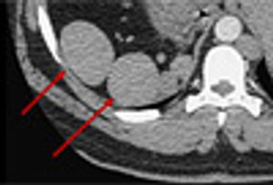
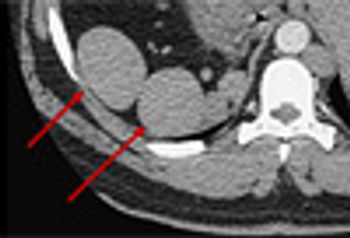
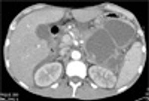
A 38-year-old man with a history of alcoholism, intravenous drug use, and cerebrovascular accident was referred for assessment of possible endocarditis, based on history, fever 39 °C (102.9 °F) and mildly elevated troponin level.
Advertisement
Latest Updated Articles
Pseudo-MI in a Patient with Pancreatitis and Polyarteritis NodosaPublished: August 30th 2011 | Updated:
Pseudomonas Enteritis in an Unlikely HostPublished: December 6th 2011 | Updated:
Advertisement
Advertisement
Trending on Patient Care Online
1
New ACS Guideline Endorses Self-Collected HPV Tests for Cervical Cancer Screening
2
Hepatitis B Foundation President Discusses ACIP Hepatitis B Birth Dose Recommendation
3
Why Nearly 1 in 5 Women Experiencing Perimenopause Have Wanted to Leave Their Jobs With Bruce Dorr, MD, URPS, IFM-CP
4
FDA Clears Omnipod 5 Algorithm Updates, Adding 100 mg/dL Target Glucose Option
5

