
A 56-year-old was seen in the ED after 4 days of hemoptysis and intermittent left chest pain. He also complained of exertional dyspnea and arthralgias. He had been treated for “pneumonia” twice during the past month. Histories were unremarkable.

A 56-year-old was seen in the ED after 4 days of hemoptysis and intermittent left chest pain. He also complained of exertional dyspnea and arthralgias. He had been treated for “pneumonia” twice during the past month. Histories were unremarkable.


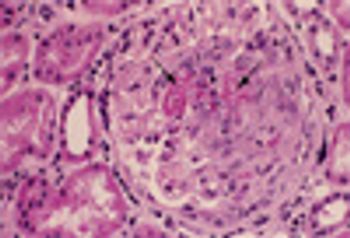
A 38-year-old man with a history of alcoholism, intravenous drug use, and cerebrovascular accident was referred for assessment of possible endocarditis, based on history, fever 39 °C (102.9 °F) and mildly elevated troponin level.

Here: Ted Rosen, MD, presents 5 tips about 5 skin disorders that you might not know.

Here: Ted Rosen, MD, presents 5 tips about 5 skin disorders that you might not know.


A 27 year-old woman was petting her cat, when the animal suddenly bit her on the arm. She rinsed copiously with isopropyl alcohol and applied an over-the-counter antibiotic ointment. But, 12 hours later, a large, red, swollen and exquisitely tender plaque had developed around the bite site.


Here: Ted Rosen, MD, presents 5 tips about 5 skin disorders that you might not know.


A 38-year-old man presented with a 2-week history of mental status changes and impaired memory. He also had a rash on both hands and feet that had been getting worse for the past few months.

What's your diagnosis? For hints and clues, click here. Rash Decisions

A 66-year-old woman presented with a 2-day history of acute onset of redness, pain, and swelling of the right breast.

An 8-year-old child has intensely pruritic lesions on the thumbs, adjacent dorsum of the hand, soles of the feet, and navel. Vital signs are normal. The patient is otherwise healthy and has no recent history of exposure to poison ivy.

A 17-year-old sexually active young woman presented with sudden loss of vision in the left eye 2 weeks before presentation.

For the past 2 weeks, this 46-year-old woman had had malaise, myalgia, and hand and elbow arthralgia. Twelve hours before she was hospitalized, red spots started to appear on her shins and thighs. Soon afterward, her left ankle became increasingly painful, tender, and warm.

The first 5 months of 2011 have seen the highest number of measles cases in this country in almost a decade.

A 59-year-old woman with chronic hepatitis C presented with abdominal pain that had grown progressively worse during the past 3 months.

Match each picture with the phrase below that best describes it. The pathogenic organisms in these picturesmight be microscopic or macroscopic, and they can be recovered from skin lesions or clothing by the patientand/or clinician. Answers and discussion appear on the following page.

The nasal cellulitis that affects this 39-year-old woman began as right intranasal folliculitis.

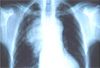
A 43-year-old African American woman presented to the emergency department with severe dyspnea, wheeze, and cough productive of white sputum. Three years earlier, she had been given a diagnosis of asthma based on symptoms of wheeze and cough; her treatment regimen included intermittent use of albuterol.

During the past year, a 48-year-old man has had joint pain as well as this worsening rash on his hands. He is a construction worker, and he attributes the symptoms to his occupational exposure.

Here: a succinct review of the diagnosis and treatment of pemphigus vulgaris, dermatomyositis, cicatricial pemphigoid, linear IgA bullous disease, coma bullae, and stasis bullae.

For 4 weeks, a 49-year-old man has had progressively worsening pain between his scapulae and in the lower part of his neck. The pain is now severe, and he takes high doses of acetaminophen and NSAIDs for relief.

A variety of effective treatments are available for diabetic peripheral neuropathic pain (DPNP), including topical agents, oral medications, and nondrug approaches. The lidocaine patch 5% is recommended for relatively localized pain.