
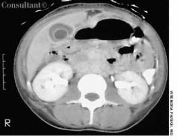
A 13-year-old girl who had leukemia presented to the emergency department with fever; chills; weight loss; fatigue; and a painful, erythematous rash with a central black lesion on the upper thigh. The patient was neutropenic and had been undergoing chemotherapy for 1 week.
















































































































































































































































































































