
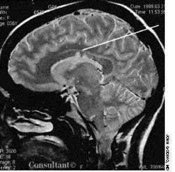
A 29-year-old woman complained of 6 months of tinnitus, hearing loss in the left ear, and leff-sided facial numbness. There was no history of trauma or recognized antecedent infection. Physical examination of the external and middle ears was unremarkable. Vestibular test results and tympanometry results were normal. An audiogram demonstrated nearly total sensorineural hearing loss in the left ear.



































































































































































































































































































