
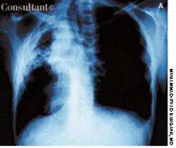
A 41-year-old man with a past history of tuberculosis presented to the emergency department with massive hemoptysis. The patient denied fever or chills but reported a 20-lb weight loss and intermittent hemoptysis during the last 6 months. Six years ago, he had been treated for tuberculosis.


