Articles by Bijoy E. John, MD

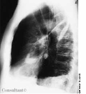
A 45-year-old man with a history of congestive heart failure presented with cough and dyspnea. A chest roentgenogram showed loculated pleural effusion in the horizontal fissure of the right lung, and a CT scan revealed pleural-based density in that lung.

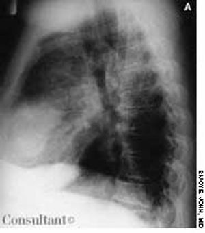
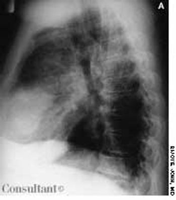
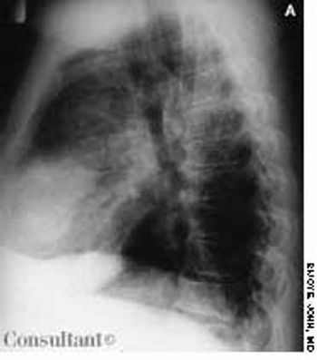
A 58-year-old man with a history of a seizure disorder was hospitalized with acute-onset shortness of breath immediately following a tonic-clonic seizure. He was afebrile; in respiratory distress; and hypoxic, with an oxygen saturation of 84% on room air.

A 65-year-old man presented with bluish toes and petechiae on his toes and feet 3 days after having undergone renal angiography. Bilateral pitting pedal edema was noted, and laboratory tests revealed proteinuria, eosinophilia, and an erythrocyte sedimentation rate (ESR) of 65 mm/h.

A 70-year-old man-nursing home resident-had had a cough, fever, and copious foul-smelling sputum for 1 week. Hemoptysis was noted off and on during the previous 3 days. The patient had no recent weight loss. A chest x-ray film and a CT scan showed an air-fluid level in the left oblique fissure of the lung as well as pleural thickening and infiltrates in the left lower zone.

A 58-year-old man with a history of a seizure disorder was hospitalized with acute-onset shortness of breath immediately following a tonic-clonic seizure. He was afebrile; in respiratory distress; and hypoxic, with an oxygen saturation of 84% on room air. Auscultation revealed bibasilar crackles and an S3 gallop. The patient was given noninvasive mechanical ventilatory support, oxygen, and diuretics.