Articles by Amado Freire, MD

We present a case of a 52-year oldwoman with exudativepleural effusion. Her workuprevealed an ovarian tumor,and the effusion completely resolvedafter resection of the tumor.Pathology revealed granulosacell tumor, which is anunusual cause of Meigs syndrome.This case shows theimportance of considering abdominopelvicpathology in unsolvedcases of pleural effusion.

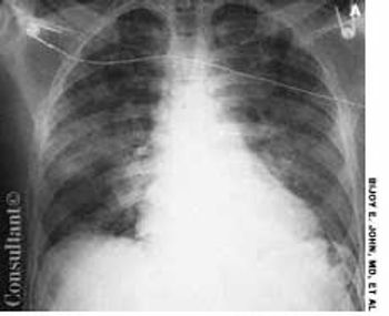
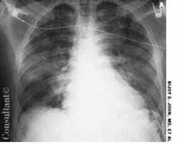
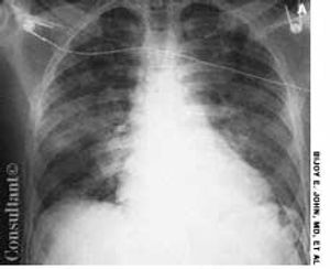
A 58-year-old man with a history of a seizure disorder was hospitalized with acute-onset shortness of breath immediately following a tonic-clonic seizure. He was afebrile; in respiratory distress; and hypoxic, with an oxygen saturation of 84% on room air.

A 58-year-old man with a history of a seizure disorder was hospitalized with acute-onset shortness of breath immediately following a tonic-clonic seizure. He was afebrile; in respiratory distress; and hypoxic, with an oxygen saturation of 84% on room air. Auscultation revealed bibasilar crackles and an S3 gallop. The patient was given noninvasive mechanical ventilatory support, oxygen, and diuretics.