Articles by Koko Aung, MD

HIV infection was diagnosed in a 34-year-old man 3 years before he was hospitalized. The patient had a 2-week history of nausea; vomiting; and diffuse, intermittent, poorly localized abdominal pain. He had received radiotherapy and chemotherapy for Kaposi's sarcoma (KS) of the upper and lower extremities, which had been diagnosed 8 months earlier.

A 43-year-old man was admitted to the hospital with a 2-day history of nausea and vomiting. He vomited about 6 times each day. Cerebral palsy had been diagnosed in childhood; the patient used a wheelchair.

A 76-year-old woman had a 40-year history of rheumatoid arthritis (RA). She had repeatedly refused treatment with disease-modifying drugs, including methotrexate. Nodules began to develop 15 years after the initial diagnosis; they recurred after surgical removal.

A 76-year-old woman had a 40-year history of rheumatoid arthritis (RA). She had repeatedly refused treatment with disease-modifying drugs, including methotrexate. Nodules began to develop 15 years after the initial diagnosis; they recurred after surgical removal.
Latest Updated Articles

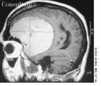
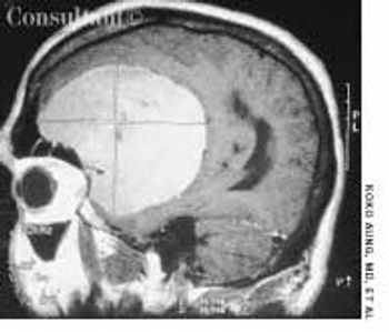
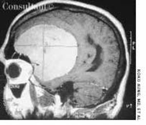
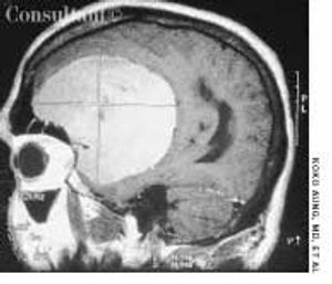
MeningiomaPublished: September 14th 2005 | Updated: