
The left hand of a 45-year-old man was affected with the characteristic intact bullae and dried, crusted, ruptured bullae of bullous impetigo.


The left hand of a 45-year-old man was affected with the characteristic intact bullae and dried, crusted, ruptured bullae of bullous impetigo.

A pruritic rash of unknown origin had been present on the dorsum of a 26-year-old woman's foot for several months. Despite oral antibiotic therapy and applications of antifungal creams and topical corticosteroids, the condition did not resolve.

Congenital adrenal hyperplasia is an autosomal recessive disorder. Deficiency of 21-hydroxylase accounts for 95% of all cases.

Having been treated for pulmonary tuberculosis (TB) 25 years earlier, a 60-year-old man (a nonsmoker) now complained of a chronic cough. The cough was occasionally accompanied by yellowish sputum but no hemoptysis. Examination revealed persistent coarse crackles in the right posterior hemithorax, and the x-ray study seen here established the diagnosis of cystic bronchiectasis.

A 45-year-old man had a red, somewhat annular, slightly scaly plaque studded with red nodules that covered the back of his right hand. Nail dystrophy was evident on the middle finger. The patient's left hand was free of lesions, but the soles of both feet were slightly red and scaly, and there was an annular, serpiginous border on the left foot.

For the past 2 days, a 30-year-old man had experienced scant hemoptysis. He had also lost a significant amount of weight-5 kg (11 lb)-over the last 2 months. The patient, a recent emigrant from Ecuador, had no history of tuberculosis (TB) or of exposure to this disease, and he had not been skin tested with purified protein derivative (PPD). He denied exposure to risk factors for HIV infection.

An 82-year-old man underwent right pneumonectomy for squamous cell carcinoma of the right lower lobe. His postoperative course was complicated by prolonged air leak from the chest tube, suggesting a bronchopleural fistula secondary to leakage from the bronchial stump. Over the ensuing 3 months, the air leak slowly decreased, but the patient was left with a nonhealing scar on the anterior thoracic cavity, as seen here.

An obese 17-year-old boy sought treatment of an apparent abscess of the umbilicus. Hot soaks, black salve, and oral cephalexin were prescribed. Although there was some drainage, the lesion persisted and the patient returned for further evaluation.

For 3 weeks, a 14-year-old boy had been aware of an enlarging lesion on the back of his hand. He recalled no trauma to the affected area. Further questioning by Dr D. Keith Cobb of Savannah, Ga, revealed that a 4-mm verruca, or wart, had been removed from the same site 6 months earlier with cryosurgery by a different physician.

An obese 52-year-old woman with a 5-year history of type II diabetes mellitus had odynophagia and dysphagia for several days. She described the sensation as food “sticking” in her chest. She also complained of vaginal itching, polyuria, and polydipsia. The only remarkable finding on physical examination was candidal vaginitis. The patient did not smoke cigarettes or drink alcoholic beverages, and there was no history of recent weight loss.

Redness and swelling of the left cheek, chin, and ear bothered a 51-year-old man. The initial diagnosis was cellulitis and/or allergic dermatitis; oral amoxicillin/clavulanate, 500 mg tid, and a low- to medium-potency corticosteroid cream, alclometasone, were prescribed. Within 1 to 2 days, pimples emerged in the reddened areas and rapidly crusted.

A 4-year-old girl is brought to the emergency department with a pruritic rash of 24 hours' duration. Her mother reports that the lesions developed after the child ate strawberries.

A mother, fearing that her 4-year-old son had been abused at his day-care center, rushed him to the emergency department, where an evaluation revealed a platelet count of 1,000/µL. Except for bruises on the boy's face and legs, the physical findings were normal. Bone marrow aspiration showed numerous megakaryocytes and was otherwise normal. The youngster's history included treatment for bronchitis, sinusitis, and conjunctivitis 2 weeks earlier.

For several weeks, a 78-year-old woman had an intensely pruritic, diffuse, raised, slightly scaly, erythematous rash that persisted despite the use of several over-the-counter topical medications (such as hydrocortisone and clotrimazole cream). Since her last visit about 3 months earlier for a blood pressure reading, she had been well except for 2 episodes of night sweats. For several years, she had been taking levothyroxine and reserpine/hydrochlorothiazide; about 6 months ago, valsartan/hydrochlorothiazide had been prescribed.

A 57-year-old man was brought to the emergency department with fever, chills, and a productive cough of 1-week's duration. He had a history of alcoholism.

A mildly painful, nonpruritic rash on the forearms and legs prompted a 42-year-old man to go to the emergency department (ED). The patient noted the rash when he awoke that morning. He had had joint pain and fever for the past 7 days and generalized malaise with chills that began about 3 days earlier. He had no significant medical history.

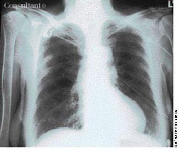
A previously healthy 51-year-old man presented with weight loss and poor appetite of 2 months' duration. He was heterosexual and had many sexual partners. Except for a temperature of 38.3°C (100.9°F) and left basal rhonchi, results of physical examination were normal. A chest radiograph and CT scan, as seen here, showed large cavitary lesions in the lower left lobe.

A 40-year-old man was hospitalized with the superficial, reddening, and painful facial lesion seen here. Its borders were sharp, and it had developed rapidly. The patient had a temperature of 40°C (104°F) and chills. His erythrocyte sedimentation rate was elevated, and he had neutrophilic leukocytosis.

A 40-year-old man, originally an Ohio resident, underwent a chest x-ray study during medical clearance following surgery to repair a hernia. Although the patient had no pulmonary symptoms, the film showed multiple small, punctate calcifications in both lung fields.

After 1 week of scratching a pruritic, reddish rash on a swollen hand and enduring a “burning sensation,” a 43-year-old man visited his physician. The patient worked as a meatpacker. He had no other medical conditions, took no medications, and had no known drug allergies.

An afebrile 23-year-old man with no cervical gland enlargement presented with the very painful, large, shallow, yellowish-based ulcer shown here.

Pain, swelling, and purulent, blood-stained drainage around the lower back had plagued a 21-year-old woman for 3 weeks. On examination, multiple openings were seen overlying the natal cleft, the sacrococcygeal region, and the upper part of the midline. The last was the area of drainage. Insertion of a metal probe at that point revealed a pilonidal sinus that communicated with centrally located openings.

A 32-year-old Hispanic woman with AIDS presented with a 1-month history of diarrhea; abdominal bloating and cramps; loss of appetite; and pronounced fatigue, malaise, and weight loss. She had no fever or chills and was not vomiting. Her CD4+ cell count was 12/µL. Results of a routine microscopic examination of stool for ova and parasites were negative; an acid-fast stain of stool demonstrated oocytes of Cyclospora cayetanensis measuring 8.8 mm in diameter (pictured, magnification ×1,000). This is about twice the size of the Cryptosporidium parvum oocyte, which typically is 4 to 5 mm.

After suffering with a severe, disabling headache for 2 weeks, a 20-year-old soldier sought medical treatment. He had no significant medical history other than his 6-year history of smoking.

A 72-year-old nursing home resident was hospitalized with fever, chills, and rigors of 2 days' duration. The nursing home staff reported the patient had dysphagia after a recent stroke.