
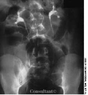
For the past 2 hours, a 19-year-old man had lower abdominal pain accompanied by nausea and vomiting. He had no fever and no diarrhea. Direct tenderness was mainly in the right lower quadrant, radiating slightly to the left lower quadrant. There was no significant rebound tenderness. The patient refused rectal examination.


