
This diagnosis is a relative dermatologic emergency; presumptive treatment with antivirals should at least be considered if any suspicion exists.

This diagnosis is a relative dermatologic emergency; presumptive treatment with antivirals should at least be considered if any suspicion exists.

What figures into your differential of a slowly enlarging asymptomatic plaque, like the one on this child's hand?

This tongue-twister of a dermatosis is the most common type seen during pregnancy and primarily occurs in women carrying twins or triplets.

Dermatofibromas may present as papules or nodules that are elevated or slightly depressed. Suspected etiology includes skin injury such as insect bites.

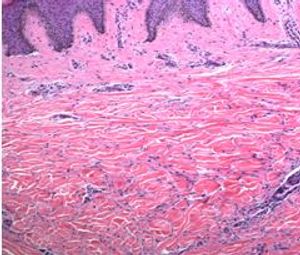
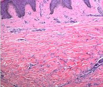
This relatively uncommon inflammatory dermal process has previously been associated with diabetes mellitus and more recently with hyperlipidemia.

Tinea versicolor presents with hyperpigmented and hypopigmented coalescing thin scaly plaques and macules.Typically they appear on the trunk and the upper back. It is more common in warm humid climates.

Published: August 1st 2014 | Updated:

Published: October 21st 2014 | Updated:

Published: December 10th 2014 | Updated:

Published: February 25th 2015 | Updated:

Published: April 27th 2015 | Updated:

Published: April 11th 2015 | Updated: