
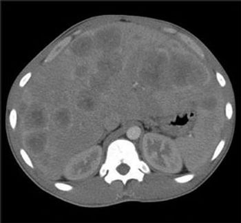
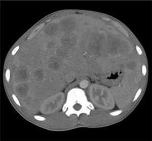
Right upper quadrant pain of 24 hours’ duration prompted a 20-year-old man with a history of gastritis to seek medical attention. The pain was sharp and nonradiating, with no alleviating or aggravating factors. The patient occasionally consumed alcohol and regularly smoked cigarettes (tobacco and marijuana). He denied nausea, vomiting, diarrhea, and diaphoresis. Right upper quadrant pain of 24 hours’ duration prompted a 20-year-old man with a history of gastritis to seek medical attention. The pain was sharp and nonradiating, with no alleviating or aggravating factors.


