
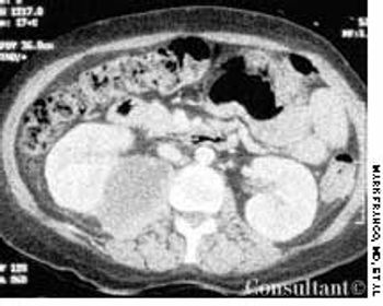
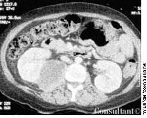
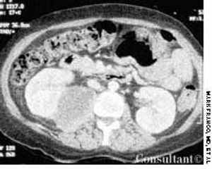
A 49-year-old woman with a history of alcoholic cirrhosis, esophageal varices, coronary artery disease, diabetes mellitus, and hypertension presented to the emergency department with a 2-day history of fever, chills, nausea, and back and abdominal pain. The pain began on the right side, progressed to the lower back, and radiated into the right anterior thigh and groin area.


