
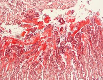
The authors present a case of AL amyloidosis with rare GI involvement and an equally rare presenting symptom.

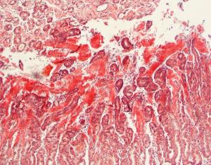
The authors present a case of AL amyloidosis with rare GI involvement and an equally rare presenting symptom.

Published: November 25th 2015 | Updated: